• Tel: 858.663.9055
  • SeparatorEmail: info@nsjbio.com
  • Tel: 858.663.9055
  • Email: info@nsjbio.com
Home >> Antibodies >> Alpha Tubulin (acetyl K40) Antibody / TUBA1B/TUBA4A

Alpha Tubulin (acetyl K40) Antibody / TUBA1B/TUBA4A [clone 31T79] (FY12718)

  Catalog No Formulation Size Price (USD)  
Image FY12718 Rabbit IgG in phosphate buffered saline, pH 7.4, 150mM NaCl, 0.02% sodium azide and 50% glycerol, 0.4-0.5mg/ml BSA 100 ul 449
Microvalidated Recrabbitmono
Bulk quote request
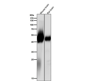
All lanes use the antibody at 1:2000 dilution for 1 hour at room temperature. Predicted molecular weight ~50 kDa.
Western blot analysis of alpha Tubulin expression in mouse spleen cell lysate using Alpha Tubulin (acetyl K40) antibody. Predicted molecular weight ~50 kDa.
All lanes use the antibody at 1:2000 dilution for 1 hour at room temperature. Predicted molecular weight ~50 kDa.
Availability 2-3 weeks
Species Reactivity Human, Mouse, Rat
Format Liquid
Host Rabbit
Clonality Recombinant Rabbit Monoclonal
Isotype Rabbit IgG
Clone Name 31T79
Purity Affinity-chromatography
Buffer Rabbit IgG in phosphate buffered saline, pH 7.4, 150mM NaCl, 0.02% sodium azide and 50% glycerol, 0.4-0.5mg/ml BSA.
UniProt P68363 , P68366
Applications Western Blot : 1:500-1:2000
Immunohistochemistry : 1:50-1:200
Immunocytochemistry/Immunofluorescence : 1:50-1:200
Immunoprecipitation : 1:50
Flow Cytometry : 1:50
Limitations This Alpha Tubulin (acetyl K40) antibody is available for research use only.
Review this product on BioCompare and get a $20 Amazon gift card

Related Products

Description

Alpha Tubulin (acetyl K40) antibody detects alpha tubulin specifically when acetylated at lysine 40. Alpha tubulin, encoded by multiple genes including TUBA1A, TUBA3C, and TUBA4A, is one of the two principal subunits of microtubules, the dynamic cytoskeletal polymers critical for cell shape, intracellular transport, and mitotic spindle formation. Common alternate identifiers include TUBA1 and TUBA4, which are widely referenced in literature. Acetylation of lysine 40 is a well known post translational modification associated with stable, long lived microtubules that support transport and signaling.

Alpha Tubulin (acetyl K40) antibody is widely applied in cell biology, neurobiology, and cancer research. Microtubule acetylation is enriched in neuronal axons, cilia, and stable cytoskeletal structures. By detecting acetylation at lysine 40, researchers can evaluate how microtubules achieve stability and how post translational modifications regulate cytoskeletal dynamics.

Immunofluorescence with Alpha Tubulin (acetyl K40) antibody highlights stable microtubule tracks in neurons and ciliated cells. Immunohistochemistry maps tissue regions enriched in acetylated tubulin, while western blotting detects the modified isoform as distinct from total tubulin. These assays provide powerful tools for studying cytoskeletal regulation.

Acetylation at lysine 40 is mediated by alpha tubulin acetyltransferase (ATAT1) and reversed by histone deacetylase 6. Dysregulation of this balance contributes to neurodegenerative disease, cancer, and ciliopathies. By applying this phospho specific antibody, scientists can examine mechanisms of axonal transport, sensory signaling, and tumor progression.

Alpha Tubulin (acetyl K40) antibody from NSJ Bioreagents provides strong specificity for detecting this critical post translational modification. Its performance supports both basic and translational studies of microtubule biology.

Application Notes

Optimal dilution of the Alpha Tubulin (acetyl K40) antibody should be determined by the researcher.

Immunogen

A synthesized peptide derived from human alpha Tubulin (acetyl K40) was used as the immunogen for the Alpha Tubulin (acetyl K40) antibody.

Storage

Store the Alpha Tubulin (acetyl K40) antibody at -20oC.

Cross
Bulk Quote Request Form
Name*:
Organization*:
Email*:
Phone Number*:
Catalog No.*:
Comments and Specifics(amount, formulation, etc.)*:
Validation code: Captchapackage Image


Can't read the image? click here to refresh.
    *required field

Your bulk quote request has been submitted successfully!

Please contact us if you have any questions.