• Tel: 858.663.9055
  • SeparatorEmail: info@nsjbio.com
  • Tel: 858.663.9055
  • Email: info@nsjbio.com
Home >> Antibodies >> Alpha Actin Antibody / ACTA2 / Smooth Muscle Actin

Alpha Actin Antibody / ACTA2 / Smooth Muscle Actin [clone CAD-1] (RQ8953)

  Catalog No Formulation Size Price (USD)  
Image RQ8953 Antibody in PBS with 0.02% sodium azide, 50% glycerol and 0.4-0.5mg/ml BSA 100 ul 449
Microvalidated Recrabbitmono
Bulk quote request
Immunofluorescent staining of FFPE human A431 cells with Alpha Actin antibody (green) and DAPI nuclear stain (blue). HIER: steam section in pH6 citrate buffer for 20 min.
Immunofluorescent staining of FFPE human HeLa cells with Alpha Actin antibody (green) and DAPI nuclear stain (blue). HIER: steam section in pH6 citrate buffer for 20 min.
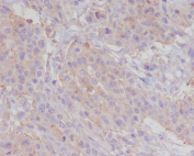
IHC staining of FFPE human breast carcinoma tissue with Alpha Actin antibody, HRP-secondary and DAB substrate. HIER: boil tissue sections in pH8 EDTA for 20 min and allow to cool before testing.
Western blot testing of 1) human A431, 2) human A549, 3) human HeLa, 4) rat C6 and 5) mouse NIH 3T3 cell lysate using Alpha Actin antibody. Predicted molecular weight ~42 kDa.
Availability 1-2 weeks
Species Reactivity Human, Mouse, Rat
Format Purified
Host Rabbit
Clonality Recombinant Rabbit Monoclonal
Isotype Rabbit IgG
Clone Name CAD-1
Purity Affinity purified
UniProt P62736
Localization Cytoplasmic
Applications Western Blot : 1:500
Immunohistochemistry (FFPE) : 1:50
Immunofluorescence : 1:50
Limitations This Alpha Actin antibody is available for research use only.
Review this product on BioCompare and get a $20 Amazon gift card

Related Products

Description

Alpha Actin antibody is a key reagent for studying cytoskeletal dynamics, smooth muscle physiology, and tissue remodeling. The encoded protein, ACTA2 (actin alpha 2), is a smooth muscle specific isoform of actin that contributes to contraction, structure, and motility of vascular and visceral smooth muscle cells. As a fundamental component of the cytoskeleton, ACTA2 polymerizes into filaments that provide mechanical strength and coordinate intracellular signaling.

Alpha actin is highly expressed in the smooth muscle layers of blood vessels, the respiratory tract, the gastrointestinal system, and reproductive organs. It also serves as a well established marker for myofibroblasts, which emerge during wound healing and fibrotic disease. Upregulation of ACTA2 in fibroblasts indicates their transition into contractile myofibroblasts, a process central to tissue repair and pathologic fibrosis. Detection with Alpha Actin antibody allows researchers to track these changes in both normal physiology and disease progression.

In cardiovascular research, ACTA2 is examined as a marker of vascular smooth muscle cells and their response to injury or remodeling. Phenotypic switching of smooth muscle cells, from a contractile to a synthetic state, is associated with vascular disease such as atherosclerosis. In liver, kidney, and lung fibrosis, ACTA2 positive myofibroblasts accumulate and contribute to excessive extracellular matrix deposition. Because of this, the Alpha Actin antibody is routinely applied in histological studies of fibrotic disorders.

At the molecular level, ACTA2 shares high sequence similarity with other actin isoforms but contains unique features that confer smooth muscle specific function. It interacts with actin binding proteins to regulate filament turnover, contractility, and cell migration. The strong conservation of actin family proteins ensures that Alpha Actin antibody provides reliable detection across species in research models.

The Alpha Actin antibody is widely used in immunohistochemistry, immunofluorescence, western blotting, and flow cytometry. These applications enable localization and quantification of ACTA2 in tissue samples and cultured cells. For researchers focused on vascular biology, tissue fibrosis, or cytoskeletal organization, the Alpha Actin antibody is a specific and dependable detection tool. NSJ Bioreagents offers validated antibodies to ensure reproducibility and accuracy in molecular and cellular studies.

Application Notes

Optimal dilution of the Alpha Actin antibody should be determined by the researcher.

Immunogen

A synthetic peptide specific to human ACTA2 protein was used as the immunogen for the Alpha Actin antibody.

Storage

Store the Alpha Actin antibody at -20oC.

Cross
Bulk Quote Request Form
Name*:
Organization*:
Email*:
Phone Number*:
Catalog No.*:
Comments and Specifics(amount, formulation, etc.)*:
Validation code: Captchapackage Image


Can't read the image? click here to refresh.
    *required field

Your bulk quote request has been submitted successfully!

Please contact us if you have any questions.