• Tel: 858.663.9055
  • SeparatorEmail: info@nsjbio.com
  • Tel: 858.663.9055
  • Email: info@nsjbio.com
Home >> Antibodies >> Alpha 1 Antitrypsin Antibody (Hepatocyte Marker)

Alpha 1 Antitrypsin Antibody (Hepatocyte Marker) [clone AAT/1379] (V3222)

  Catalog No Formulation Size Price (USD)  
Image V3222-100UG 0.2 mg/ml in 1X PBS with 0.1 mg/ml BSA (US sourced) and 0.05% sodium azide 100 ug 559
Image
V3222-20UG 0.2 mg/ml in 1X PBS with 0.1 mg/ml BSA (US sourced) and 0.05% sodium azide 20 ug 259
Image
V3222SAF-100UG 1 mg/ml in 1X PBS; BSA free, sodium azide free 100 ug 559
Bulk quote request
Western blot testing of human lung tissue lysate with Alpha 1 Antitrypsin antibody. Expected molecular weight: 47-52 kDa depending on the level of glycosylation.
SDS-PAGE Analysis of Purified, BSA-Free Alpha 1 Antitrypsin Antibody (clone AAT/1379). Confirmation of Integrity and Purity of the Antibody.
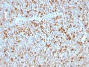
IHC testing of FFPE human tonsil with Alpha 1 Antitrypsin antibody (clone AAT/1379). Required HIER: steam sections in pH6, 10mM citrate buffer for 10-20 min.
Availability 1-3 business days
Species Reactivity Human
Format Purified
Host Mouse
Clonality Monoclonal (mouse origin)
Isotype Mouse IgG1, kappa
Clone Name AAT/1379
Purity Protein G affinity
UniProt P01009
Localization Cytoplasmic
Applications Western Blot : 2-4ug/ml
Immunohistochemistry (FFPE) : 1-2ug/ml for 30 min at RT
Limitations This Alpha 1 Antitrypsin antibody is available for research use only.
Review this product on BioCompare and get a $20 Amazon gift card

Related Products

Description

Alpha-1 Antitrypsin or α1-antitrypsin (A1AT) is a protease inhibitor belonging to the serpin superfamily. It is generally known as serum trypsin inhibitor. Alpha 1-antitrypsin is also referred to as alpha-1 proteinase inhibitor (A1PI) because it inhibits a wide variety of proteases. It protects tissues from enzymes of inflammatory cells, especially neutrophil elastase, and has a reference range in blood of 1.5 - 3.5 gram/liter (in US the reference range is generally expressed as mg/dL or micromoles), but the concentration can rise manyfold upon acute inflammation. In its absence (such as in alpha 1-antitrypsin deficiency), neutrophil elastase is free to break down elastin, which contributes to the elasticity of the lungs, resulting in respiratory complications such as emphysema, or COPD (chronic obstructive pulmonary disease) in adults and cirrhosis in adults or children.

Like all serine protease inhibitors, A1AT has a characteristic secondary structure of beta sheets and alpha helices. Mutations in these areas can lead to non-functional proteins that can polymerise and accumulate in the liver (infantile hepatic cirrhosis). [Wiki]

Application Notes

Titration of the Alpha 1 Antitrypsin antibody may be required due to differences in protocols and secondary/substrate sensitivity.

Immunogen

A human partial recombinant protein was used as the immunogen for this Alpha 1 Antitrypsin antibody.

Storage

Store the Alpha 1 Antitrypsin antibody at 2-8oC (with azide) or aliquot and store at -20oC or colder (without azide).

Cross
Bulk Quote Request Form
Name*:
Organization*:
Email*:
Phone Number*:
Catalog No.*:
Comments and Specifics(amount, formulation, etc.)*:
Validation code: Captchapackage Image


Can't read the image? click here to refresh.
    *required field

Your bulk quote request has been submitted successfully!

Please contact us if you have any questions.