• Tel: 858.663.9055
  • SeparatorEmail: info@nsjbio.com
  • Tel: 858.663.9055
  • Email: info@nsjbio.com
Home >> Antibodies >> ALDH2 Antibody / Acetaldehyde dehydrogenase 2

ALDH2 Antibody / Acetaldehyde dehydrogenase 2 (R31890)

  Catalog No Formulation Size Price (USD)  
Image R31890 0.5mg/ml if reconstituted with 0.2ml sterile DI water 100 ug 449
Bulk quote request
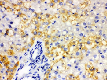
Immunohistochemical staining of FFPE human liver cancer tissue with ALDH2 antibody, HRP-secondary and DAB substrate. HIER: boil tissue sections in pH8 EDTA for 20 min and allow to cool before testing.
Western blot testing of 1) human HepG2, 2) rat liver, 3) rat lung, 4) rat kidney, 5) mouse kidney and 6) mouse ANA-1 cell lysate with ALDH2 antibody. A single band is detected at approximately 50 kDa in all samples, which matches the reported observed molecular weight of endogenous ALDH2 (~48-56 kDa), despite its calculated mass of ~56 kDa.
Flow cytometry analysis of fixed and permeabilized human HepG2 cells with ALDH2 antibody at 1ug/million cells (blocked with goat sera); Red=cells alone, Green=isotype control, Blue= ALDH2 antibody.
Availability 1-3 business days
Species Reactivity Human, Mouse, Rat
Format Antigen affinity purified
Host Rabbit
Clonality Polyclonal (rabbit origin)
Isotype Rabbit IgG
Purity Antigen affinity
Buffer Lyophilized from 1X PBS with 2% Trehalose
UniProt P05091
Localization Cytoplasm (Mitochondria)
Applications Western Blot : 0.5-1ug/ml
Immunohistochemistry (FFPE) : 2-5ug/ml
Immunofluorescence : 5ug/ml
Limitations This ALDH2 antibody is available for research use only.
Review this product on BioCompare and get a $20 Amazon gift card

Related Products

  • Applications : WB
    Reactivity : Human, Mouse, Rat
    Recrabbitmono
  • Applications : IHC, FACS, IF, WB, ELISA
    Reactivity : Human
  • Applications : WB
    Reactivity : Human
    Rab Mono Image
  • Applications : WB, FACS, IF
    Reactivity : Human, Mouse, Rat
  • Applications : WB, IHC-P
    Reactivity : Human, Rat
  • Applications : WB, ELISA (peptide), EIA
    Reactivity : Human, Mouse, Rat
    Pred. Reactivity : Cow, Dog, Pig
  • Applications : WB, ELISA (peptide), EIA
    Reactivity : Human, Mouse, Rat
    Pred. Reactivity : Cow, Dog, Pig

Description

ALDH2 antibody recognizes Acetaldehyde dehydrogenase 2, a mitochondrial enzyme encoded by the ALDH2 gene on chromosome 12q24.12. ALDH2 belongs to the aldehyde dehydrogenase superfamily and catalyzes the oxidation of acetaldehyde and other reactive aldehydes into their corresponding carboxylic acids. This detoxifying reaction is essential for ethanol metabolism, oxidative stress regulation, and protection against lipid peroxidation byproducts such as 4-hydroxynonenal. ALDH2 is highly expressed in liver, heart, skeletal muscle, brain, and gastrointestinal tissues, reflecting its broad role in cellular redox balance. The protein localizes to the mitochondrial matrix, where it co-localizes with enzymes of the citric acid cycle, oxidative phosphorylation complexes, and mitochondrial detoxification pathways.

Acetaldehyde dehydrogenase 2 plays a central role in intermediary metabolism. During ethanol metabolism, ALDH2 converts acetaldehyde into acetate, preventing toxic accumulation that can lead to cellular damage, inflammation, and metabolic dysregulation. In addition to ethanol-derived substrates, ALDH2 detoxifies lipid peroxidation aldehydes and environmental aldehydes generated by pollutants and oxidative stress. ALDH2 also contributes to pathways involving nitric oxide signaling, cardiovascular protection, and mitochondrial resilience during hypoxic or ischemic stress. The enzyme is a key regulator in cardiomyocyte survival, where its detoxifying activity supports mitochondrial integrity and reduces oxidative injury.

The well-characterized ALDH2*2 variant, common in East Asian populations, results from a single amino acid substitution that impairs enzymatic activity. Individuals carrying this variant exhibit reduced acetaldehyde clearance, leading to flushing responses after alcohol consumption and an elevated risk for conditions including esophageal cancer, cardiovascular dysfunction, and alcohol-related tissue damage. This variant has provided important insight into the physiological impact of ALDH2 dysfunction and continues to be a prominent area of biomedical research. Additional alterations in ALDH2 expression or activity have been linked to neurodegenerative processes, metabolic disorders, and age-associated oxidative stress.

At the molecular level, ALDH2 functions as a homotetramer, with each subunit contributing to catalytic efficiency and cofactor binding. Isoform diversity arises from alternative transcriptional regulation, and post-translational modifications such as phosphorylation and oxidation influence enzyme stability and mitochondrial localization. During development, ALDH2 expression increases in metabolically active tissues as mitochondrial capacity expands, highlighting its importance in early energy metabolism. In adult tissues, ALDH2 is induced by metabolic cues, stress responses, and lipid oxidation states.

This ALDH2 antibody is suitable for detecting Acetaldehyde dehydrogenase 2 in research focused on ethanol metabolism, mitochondrial detoxification pathways, cardiovascular biology, oxidative stress responses, toxicology, and metabolic disease models. It supports studies examining redox homeostasis, aldehyde clearance, mitochondrial adaptation, and tissue-specific regulation of aldehyde dehydrogenase activity. NSJ Bioreagents includes this reagent in its metabolism and mitochondrial biology antibody collection.

Application Notes

Optimal dilution of the ALDH2 antibody should be determined by the researcher.

Immunogen

Amino acids SAAATQAVPAPNQQPEVFCNQIFINNEWHDA of human ALDH2 were used as the immunogen for the ALDH2 antibody.

Storage

After reconstitution, the ALDH2 antibody can be stored for up to one month at 4oC. For long-term, aliquot and store at -20oC. Avoid repeated freezing and thawing.

Cross
Bulk Quote Request Form
Name*:
Organization*:
Email*:
Phone Number*:
Catalog No.*:
Comments and Specifics(amount, formulation, etc.)*:
Validation code: Captchapackage Image


Can't read the image? click here to refresh.
    *required field

Your bulk quote request has been submitted successfully!

Please contact us if you have any questions.