• Tel: 858.663.9055
  • SeparatorEmail: info@nsjbio.com
  • Tel: 858.663.9055
  • Email: info@nsjbio.com
Home >> Antibodies >> ALDH2 Antibody

ALDH2 Antibody (R31184)

  Catalog No Formulation Size Price (USD)  
Image R31184 0.5mg/ml if reconstituted with 0.2ml sterile DI water 100 ug 439
Bulk quote request
Western blot testing of ALDH2 antibody and rat samples; Lane 1: liver; 2: intestine; 3: lung; 4: kidney tissue lysate. Predicted molecular weight: ~56kDa.
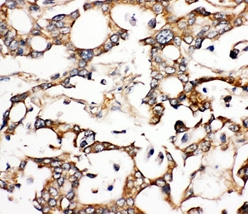
IHC-P: ALDH2 antibody testing of human liver cancer tissue
Availability 1-3 business days
Species Reactivity Human, Rat
Format Antigen affinity purified
Clonality Polyclonal (rabbit origin)
Isotype Rabbit IgG
Purity Antigen affinity
Buffer Lyophilized from 1X PBS with 2.5% BSA and 0.025% sodium azide/thimerosal
UniProt P05091
Applications Western Blot : 0.5-1ug/ml
IHC (FFPE) : 0.5-1ug/ml
Limitations This ALDH2 antibody is available for research use only.
Review this product on BioCompare and get a $20 Amazon gift card

Related Products

  • Applications : WB
    Reactivity : Human, Mouse, Rat
    Recrabbitmono
  • Applications : IHC, FACS, IF, WB, ELISA
    Reactivity : Human
  • Applications : WB
    Reactivity : Human
    Rab Mono Image
  • Applications : WB, FACS, IF
    Reactivity : Human, Mouse, Rat
  • Applications : WB, ELISA (peptide), EIA
    Reactivity : Human, Mouse, Rat
    Pred. Reactivity : Cow, Dog, Pig
  • Applications : WB, IHC-P, IF
    Reactivity : Human, Mouse, Rat
  • Applications : WB, ELISA (peptide), EIA
    Reactivity : Human, Mouse, Rat
    Pred. Reactivity : Cow, Dog, Pig

Description

Aldehyde Dehydrogenase 2 is a human gene. The enzyme encoded by this gene belongs to the ALDH family of enzymes that catalyze the chemical transformation from acetaldehyde to acetic acid. Aldehyde dehydrogenase is the second enzyme of the major oxidative pathway of alcohol metabolism. Hsu et al.(1985) assigned the ALDH2 locus to chromosome 12 by means of a cDNA probe and Southern blot analysis of somatic cell hybrids. Using an unbiased proteomic search, Chen et al.(2008) identified mitochondrial ALDH2 as an enzyme whose activation correlated with reduced ischemic heart damage in rodent models. A high-throughput screen identified a small molecule activator of ALDH2, which they called Alda-1, that, when administered to rats before an ischemic event, reduced infarct size by 60%, most likely through its inhibitory effect on the formation of cytotoxic aldehydes.

Application Notes

The stated application concentrations are suggested starting amounts. Titration of the ALDH2 antibody may be required due to differences in protocols and secondary/substrate sensitivity.

Immunogen

An amino acid sequence from the N-terminus of human Aldehyde Dehydrogenase 2 (SAAATQAVPAPNQQPE) was used as the immunogen for this ALDH2 antibody.

Storage

After reconstitution, the ALDH2 antibody can be stored for up to one month at 4oC. For long-term, aliquot and store at -20oC. Avoid repeated freezing and thawing.

Cross
Bulk Quote Request Form
Name*:
Organization*:
Email*:
Phone Number*:
Catalog No.*:
Comments and Specifics(amount, formulation, etc.)*:
Validation code: Captchapackage Image


Can't read the image? click here to refresh.
    *required field

Your bulk quote request has been submitted successfully!

Please contact us if you have any questions.