• Tel: 858.663.9055
  • SeparatorEmail: info@nsjbio.com
  • Tel: 858.663.9055
  • Email: info@nsjbio.com
Home >> Antibodies >> ALCAM Antibody / Activated leukocyte cell adhesion molecule / CD166

ALCAM Antibody / Activated leukocyte cell adhesion molecule / CD166 [clone rALCAM/9811] (V5884)

  Catalog No Formulation Size Price (USD)  
Image V5884-100UG 0.2 mg/ml in 1X PBS with 0.05% BSA, 0.05% sodium azide 100 ug 559
Image
V5884-20UG 0.2 mg/ml in 1X PBS with 0.05% BSA, 0.05% sodium azide 20 ug 259
Image
V5884SAF-100UG 1 mg/ml in 1X PBS; BSA free, sodium azide free 100 ug 559
Microvalidated Recmousemono
Bulk quote request
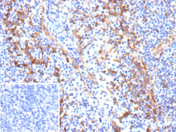
Immunohistochemistry analysis of ALCAM / CD166 in human tonsil. Formalin-fixed, paraffin-embedded human tonsil tissue stained with ALCAM/Activated leukocyte cell adhesion molecule antibody (rALCAM/9811). Brown chromogenic signal indicates ALCAM-positive cells, with membranous and cytoplasmic brown staining observed in lymphoid cells. Inset shows PBS substituted for the primary antibody as a negative control. Heat-induced epitope retrieval was performed using 10mM Tris with 1mM EDTA, pH 9.0, at 95oC for 45 minutes, followed by cooling at room temperature.
Species Reactivity Human
Format Purified
Host Mouse
Clonality Recombinant Mouse Monoclonal
Isotype Mouse IgG2b, kappa
Clone Name rALCAM/9811
UniProt Q13740
Localization Cell membrane
Applications Immunohistochemistry (FFPE) : 1-2ug/ml
Western Blot : 2-4ug/ml
Limitations This ALCAM/Activated leukocyte cell adhesion molecule antibody is available for research use only.
Review this product on BioCompare and get a $20 Amazon gift card

Related Products

Description

ALCAM antibody targets Activated leukocyte cell adhesion molecule, a type I transmembrane glycoprotein belonging to the immunoglobulin superfamily that mediates cell-cell adhesion through homophilic and heterophilic interactions. ALCAM is also widely known in the literature as CD166 and MEMD, and functions as an adhesion receptor involved in maintaining tissue architecture and regulating intercellular communication. The protein is primarily localized to the cell membrane, where it participates in stable cell-cell contacts and dynamic adhesive interactions in both immune and non-immune tissues.

Activated leukocyte cell adhesion molecule plays a critical role in immune cell trafficking, synapse formation, and leukocyte-endothelial interactions. Through its extracellular immunoglobulin-like domains, ALCAM mediates adhesion between activated leukocytes and other cell types, facilitating immune surveillance and inflammatory responses. In addition to immune contexts, ALCAM contributes to epithelial organization, neuronal development, and stem cell niche maintenance, reflecting its broad functional relevance across multiple biological systems.

ALCAM expression is observed in a variety of tissues, including hematopoietic cells, endothelial cells, epithelial cells, and neural tissues. At the cellular level, ALCAM antibody staining is typically membranous, consistent with its function as a surface adhesion molecule, although cytoplasmic staining may be observed depending on cellular context and protein turnover. The regulated expression of ALCAM is essential for balancing adhesive stability with cellular motility during development and tissue remodeling.

In cancer biology, ALCAM has been implicated in tumor progression, invasion, and metastasis, with expression levels and localization patterns varying across tumor types. Altered ALCAM-mediated adhesion can influence tumor cell cohesion, interactions with the tumor microenvironment, and metastatic dissemination. As a result, ALCAM expression has been explored as a marker of tumor differentiation, invasive potential, and cell adhesion status in several malignancies.

This ALCAM antibody is suitable for research applications aimed at detecting Activated leukocyte cell adhesion molecule expression and localization in cells and tissue sections. Clone rALCAM/9811 is designed to recognize ALCAM and supports investigation of cell adhesion mechanisms, immune cell interactions, and adhesion-related changes associated with disease states. Use of this antibody enables detailed study of CD166-associated signaling and structural functions in physiological and pathological models.

Application Notes

Optimal dilution of the ALCAM/Activated leukocyte cell adhesion molecule antibody should be determined by the researcher.

Immunogen

Recombinant full-length human CD166 protein was used as the immunogen for the ALCAM/Activated leukocyte cell adhesion molecule antibody.

Storage

ALCAM/Activated leukocyte cell adhesion molecule antibody with sodium azide - store at 2 to 8oC; antibody without sodium azide - store at -20 to -80oC.

Cross
Bulk Quote Request Form
Name*:
Organization*:
Email*:
Phone Number*:
Catalog No.*:
Comments and Specifics(amount, formulation, etc.)*:
Validation code: Captchapackage Image


Can't read the image? click here to refresh.
    *required field

Your bulk quote request has been submitted successfully!

Please contact us if you have any questions.