• Tel: 858.663.9055
  • SeparatorEmail: info@nsjbio.com
  • Tel: 858.663.9055
  • Email: info@nsjbio.com
Home >> Antibodies >> AIF Antibody / AIFM1

AIF Antibody / AIFM1 (R31851)

  Catalog No Formulation Size Price (USD)  
Image R31851 0.5mg/ml if reconstituted with 0.2ml sterile DI water 100 ug 449
Bulk quote request
Immunofluorescent staining of FFPE human MCF7 cells with AIF antibody (green) and DAPI nuclear stain (blue). HIER: steam section in pH6 citrate buffer for 20 min.
IHC testing of FFPE human intestinal cancer and AIF antibody. HIER: Boil the paraffin sections in pH 6, 10mM citrate buffer for 20 minutes and allow to cool prior to staining.
IHC testing of FFPE mouse heart and AIF antibody. HIER: Boil the paraffin sections in pH 6, 10mM citrate buffer for 20 minutes and allow to cool prior to staining.
IHC testing of FFPE rat heart and AIF antibody. HIER: Boil the paraffin sections in pH 6, 10mM citrate buffer for 20 minutes and allow to cool prior to staining.
ICC testing of human SMCC-7221 cells and AIF antibody.
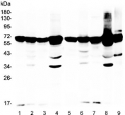
Western blot testing of rat 1) spleen, 2) ovary, 3) lung, 4) liver and mouse 5) spleen, 6) testis, 7) lung, 8) liver and 9) ovary lysate with AIF antibody. Expected molecular weight ~67 kDa.
Western blot testing of human 1) placenta, 2) A549, 3) PC-3, 4) K562, 5) Caco-2, 6) HeLa, 7) HL60 and 8) U-87 MG lysate with AIF antibody. Expected molecular weight ~67 kDa.
Immunofluorescent staining of FFPE mouse NIH 3T3 cells with AIF antibody (red) and DAPI nuclear stain (blue). HIER: steam section in pH6 citrate buffer for 20 min.
Flow cytometry testing of human HeLa cells with AIF antibody at 1ug/million cells (blocked with goat sera); Red=cells alone, Green=isotype control, Blue= AIF antibody.
Availability 1-3 business days
Species Reactivity Human, Mouse, Rat
Format Antigen affinity purified
Host Rabbit
Clonality Polyclonal (rabbit origin)
Isotype Rabbit IgG
Purity Antigen affinity
Buffer Lyophilized from 1X PBS with 2.5% BSA and 0.025% sodium azide
UniProt O95831
Localization Cytoplasmic
Applications Western Blot : 0.1-0.5ug/ml
Immunohistochemistry (FFPE) : 0.5-1ug/ml
Immunocytochemistry : 0.5-1ug/ml
Immunofluorescence (FFPE) : 2-4ug/ml
Flow Cytometry : 1-3ug/million cells
Limitations This AIF antibody is available for research use only.
Review this product on BioCompare and get a $20 Amazon gift card

Related Products

Description

Apoptosis-inducing factor 1, mitochondrial, also known as AIF or PDCD8 is a protein that in humans is encoded by the AIFM1 gene. AIFM1 gene is mapped to Xq26.1 based on an alignment of the AIFM1 sequence with the genomic sequence. This gene encodes a flavoprotein essential for nuclear disassembly in apoptotic cells, and it is found in the mitochondrial intermembrane space in healthy cells. Induction of apoptosis results in the translocation of this protein to the nucleus where it affects chromosome condensation and fragmentation. In addition, this gene product induces mitochondria to release the apoptogenic proteins cytochrome c and caspase-9. Mutations in this gene cause combined oxidative phosphorylation deficiency 6, which results in a severe mitochondrial encephalomyopathy. A related pseudogene has been identified on chromosome 10.

Application Notes

Optimal dilution of the AIF antibody should be determined by the researcher.

Immunogen

Amino acids FNRMPIARKIIKDGEQHEDLNEVAKLFNIHED of human AIF were used as the immunogen for the AIF antibody.

Storage

After reconstitution, the AIF antibody can be stored for up to one month at 4oC. For long-term, aliquot and store at -20oC. Avoid repeated freezing and thawing.

Cross
Bulk Quote Request Form
Name*:
Organization*:
Email*:
Phone Number*:
Catalog No.*:
Comments and Specifics(amount, formulation, etc.)*:
Validation code: Captchapackage Image


Can't read the image? click here to refresh.
    *required field

Your bulk quote request has been submitted successfully!

Please contact us if you have any questions.