• Tel: 858.663.9055
  • SeparatorEmail: info@nsjbio.com
  • Tel: 858.663.9055
  • Email: info@nsjbio.com
Home >> Antibodies >> AIF-1 Antibody Rabbit Monoclonal / Allograft inflammatory factor 1 / IBA1

AIF-1 Antibody Rabbit Monoclonal / Allograft inflammatory factor 1 / IBA1 [clone AFGH-1] (RQ8894)

  Catalog No Formulation Size Price (USD)  
Image RQ8894 Antibody in PBS with 0.02% sodium azide, 50% glycerol and 0.4-0.5mg/ml BSA 100 ul 449
Microvalidated Recrabbitmono
Bulk quote request
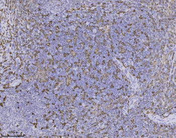
AIF-1 Antibody Rabbit Monoclonal Tonsil IHC. Immunohistochemistry of AIF-1 Antibody Rabbit Monoclonal clone AFGH-1 in human tonsil tissue. Formalin-fixed, paraffin-embedded tonsil demonstrates cytoplasmic HRP-DAB brown staining in scattered immune cells within the lymphoid parenchyma, consistent with Allograft inflammatory factor 1 expression in macrophages and activated immune cells. Heat-induced epitope retrieval was performed by boiling tissue sections in pH 8 EDTA for 20 minutes followed by cooling prior to staining. The rabbit monoclonal antibody clone AFGH-1 was used as the primary antibody, with HRP-conjugated secondary antibody and DAB substrate for chromogenic detection.
Western blot testing of human 1) ThP-1, 2) U937, 3) HL60 and 4) HEL cell lysate with AIF-1 antibody rabbit monoclonal clone AFGH-1. Predicted molecular weight ~17 kDa.
Availability 1-3 days
Species Reactivity Human
Format Purified
Host Rabbit
Clonality Recombinant Rabbit Monoclonal
Isotype Rabbit IgG
Clone Name AFGH-1
Purity Affinity chromatography
UniProt P55008
Localization Cytoplasm
Applications Western Blot : 1:500
Immunohistochemistry (FFPE) : 1:50
Limitations This AIF-1 antibody is available for research use only.
Review this product on BioCompare and get a $20 Amazon gift card

Related Products

Description

AIF-1 Antibody Rabbit Monoclonal clone AFGH-1 recognizes Allograft inflammatory factor 1, a cytoplasmic calcium-binding protein encoded by the AIF1 gene located on chromosome 6p21.3. Allograft inflammatory factor 1, commonly referred to as IBA1 in the literature, is a small 17 kDa protein predominantly expressed in microglia within the central nervous system and in activated macrophages in peripheral tissues. AIF-1 antibody, also known as IBA1 antibody, is widely used in studies of neuroinflammation, immune activation, and macrophage biology. This rabbit monoclonal antibody supports detection of cytoplasmic AIF1 expression in inflammatory and neurologic research contexts.

Allograft inflammatory factor 1 belongs to the EF-hand calcium-binding protein family and contains two EF-hand motifs that mediate calcium-dependent conformational changes. Through interaction with actin and other cytoskeletal elements, AIF1 regulates membrane ruffling, cell migration, and phagocytosis. It is rapidly upregulated in response to inflammatory stimuli and is considered a reliable marker of activated microglia in experimental models of neurodegeneration, trauma, and infection.

Expression of AIF1 is primarily restricted to microglia in the brain and spinal cord and to tissue macrophages in peripheral organs such as spleen and lymph node. Neurons and astrocytes typically show minimal expression under resting conditions, making AIF-1 antibody a useful tool for distinguishing resident immune cells from other neural cell populations. Increased IBA1 expression has been reported in Alzheimer disease, Parkinson disease, multiple sclerosis, and glioma, reflecting microglial activation and immune cell infiltration in these disorders.

Structurally, Allograft inflammatory factor 1 is a small intracellular protein that participates in signaling pathways regulating immune cell activation and proliferation. Its calcium-dependent actin-binding properties contribute to morphological transformation of microglia from ramified to amoeboid forms during activation. Through its established role in immune surveillance and neuroinflammatory responses, AIF1 remains an important molecular marker in studies of central nervous system inflammation and macrophage-mediated disease mechanisms.

For detection of AIF1 as a microglia marker across tissue types, including protein microarray validated performance, see our IBA1 antibody.

Application Notes

Optimal dilution of the AIF-1 antibody rabbit monoclonal should be determined by the researcher.

Immunogen

A peptide sequence specific to Allograft inflammatory factor 1 was used as the immunogen for the AIF-1 antibody rabbit monoclonal.

Storage

After reconstitution, the AIF-1 antibody can be stored for up to one month at 4oC. For long-term, aliquot and store at -20oC. Avoid repeated freezing and thawing.

Cross
Bulk Quote Request Form
Name*:
Organization*:
Email*:
Phone Number*:
Catalog No.*:
Comments and Specifics(amount, formulation, etc.)*:
Validation code: Captchapackage Image


Can't read the image? click here to refresh.
    *required field

Your bulk quote request has been submitted successfully!

Please contact us if you have any questions.