• Tel: 858.663.9055
  • SeparatorEmail: info@nsjbio.com
  • Tel: 858.663.9055
  • Email: info@nsjbio.com
Home >> Antibodies >> AHCY Antibody / Adenosylhomocysteinase

AHCY Antibody / Adenosylhomocysteinase (FY13365)

  Catalog No Formulation Size Price (USD)  
Image FY13365 Adding 0.2 ml of distilled water will yield a concentration of 500 ug/ml 100 ug 449
Bulk quote request
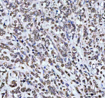
Immunohistochemical staining of AHCY using anti-AHCY antibody. AHCY was detected in a paraffin-embedded section of human breast cancer tissue. Heat mediated antigen retrieval was performed in EDTA buffer (pH 8.0, epitope retrieval solution). The tissue section was blocked with 10% goat serum. The tissue section was then incubated with 2 ug/ml rabbit anti-AHCY antibody overnight at 4oC. Peroxidase Conjugated Goat Anti-rabbit IgG was used as secondary antibody and incubated for 30 minutes at 37oC. The tissue section was developed using an HRP secondary and DAB substrate.
Western blot analysis of AHCY using anti-AHCY antibody. Electrophoresis was performed on a 10% SDS-PAGE gel at 80V (Stacking gel) / 120V (Resolving gel) for 2 hours. Lane 1: human Hela whole cell lysates, Lane 2: human HepG2 whole cell lysates, Lane 3: human whole cell lysates, Lane 4: human Jurkat whole cell lysates, Lane 5: rat liver tissue lysates, Lane 6: rat thymus tissue lysates, Lane 7: mouse liver tissue lysates. After electrophoresis, proteins were transferred to a nitrocellulose membrane at 150 mA for 50-90 minutes. Blocked the membrane with 5% non-fat milk/TBS for 1.5 hour at RT. The membrane was incubated with rabbit anti-AHCY antibody at 0.5 ug/ml overnight at 4oC, then washed with TBS-0.1%Tween 3 times with 5 minutes each and probed with a goat anti-rabbit IgG-HRP secondary antibody at a dilution of 1:5000 for 1.5 hour at RT. The signal was developed using an ECL Plus Western Blotting Substrate. A predominant band is detected at approximately 43 kDa in all samples, slightly below the predicted ~48 kDa size but consistent with the apparent molecular weight of endogenous S adenosylhomocysteine hydrolase under these electrophoresis conditions.
Immunohistochemical staining of AHCY using anti-AHCY antibody. AHCY was detected in a paraffin-embedded section of rat liver tissue. Heat mediated antigen retrieval was performed in EDTA buffer (pH 8.0, epitope retrieval solution). The tissue section was blocked with 10% goat serum. The tissue section was then incubated with 2 ug/ml rabbit anti-AHCY antibody overnight at 4oC. Peroxidase Conjugated Goat Anti-rabbit IgG was used as secondary antibody and incubated for 30 minutes at 37oC. The tissue section was developed using an HRP secondary and DAB substrate.
Availability 1-2 days
Species Reactivity Human, Mouse, Rat
Format Lyophilized
Host Rabbit
Clonality Polyclonal (rabbit origin)
Isotype Rabbit IgG
Purity Immunogen affinity purified
Buffer Each vial contains 4 mg Trehalose, 0.9 mg NaCl, 0.2 mg Na2HPO4.
UniProt P23526
Localization Nuclear, cytoplasmic
Applications Western Blot : 0.25-0.5ug/ml
Immunohistochemistry : 2-5ug/ml
ELISA : 0.1-0.5ug/ml
Limitations This AHCY antibody is available for research use only.
Review this product on BioCompare and get a $20 Amazon gift card

Description

AHCY antibody detects Adenosylhomocysteinase, an essential cytoplasmic enzyme encoded by the AHCY gene located on chromosome 20q11.22. AHCY catalyzes the reversible hydrolysis of S-adenosylhomocysteine (SAH) to adenosine and homocysteine, a key step in the methionine cycle that regulates cellular methylation potential. This enzyme is critical for maintaining the balance between methylation reactions and homocysteine metabolism in all mammalian cells. AHCY is ubiquitously expressed, with high levels in liver, kidney, brain, and heart where transmethylation reactions are most active.

Structurally, AHCY is a homotetrameric enzyme that binds NAD+ as a cofactor to mediate the reversible breakdown of SAH. It belongs to the adenosylhomocysteinase family of dehydrogenases, characterized by a conserved catalytic lysine and nicotinamide-binding motif. The enzyme undergoes conformational changes during catalysis, coupling the oxidation and hydrolysis of SAH to the regeneration of adenosine and homocysteine. AHCY operates at the intersection of methionine metabolism, DNA methylation, and nucleotide synthesis.

Functionally, AHCY plays a central role in controlling cellular methylation capacity by regulating the intracellular SAH concentration, a potent inhibitor of methyltransferases. By hydrolyzing SAH, AHCY maintains the S-adenosylmethionine (SAM)/SAH ratio required for normal methylation of DNA, RNA, proteins, and lipids. In liver, AHCY supports homocysteine recycling and methionine regeneration, while in neurons, it contributes to methylation-dependent neurotransmitter synthesis. The enzyme also interacts with metabolic partners such as MAT1A and CBS, forming a regulatory network that maintains one-carbon metabolism.

Mutations or deficiency in AHCY cause adenosylhomocysteinase deficiency, a rare metabolic disorder characterized by elevated SAH and global hypomethylation leading to developmental delay, muscle hypotonia, and hepatic dysfunction. Dysregulation of AHCY expression has also been linked to cardiovascular disease, liver fibrosis, and cancer. Pathway involvement includes methionine metabolism, homocysteine clearance, and methyl donor recycling. During development, AHCY expression ensures proper methylation patterns necessary for organogenesis and epigenetic regulation.

The AHCY antibody from NSJ Bioreagents is a valuable reagent for research into methylation biology, amino acid metabolism, and epigenetic regulation.

Application Notes

Optimal dilution of the AHCY antibody should be determined by the researcher.

Immunogen

E.coli-derived human AHCY recombinant protein (Position: W112-Y432) was used as the immunogen for the AHCY antibody.

Storage

After reconstitution, the AHCY antibody can be stored for up to one month at 4oC. For long-term, aliquot and store at -20oC. Avoid repeated freezing and thawing.

Cross
Bulk Quote Request Form
Name*:
Organization*:
Email*:
Phone Number*:
Catalog No.*:
Comments and Specifics(amount, formulation, etc.)*:
Validation code: Captchapackage Image


Can't read the image? click here to refresh.
    *required field

Your bulk quote request has been submitted successfully!

Please contact us if you have any questions.