• Tel: 858.663.9055
  • SeparatorEmail: info@nsjbio.com
  • Tel: 858.663.9055
  • Email: info@nsjbio.com
Home >> Antibodies >> Adiponectin Antibody

Adiponectin Antibody (R31122)

  Catalog No Formulation Size Price (USD)  
Image R31122 0.5mg/ml if reconstituted with 0.2ml sterile DI water 100 ug 449
Bulk quote request
Western blot testing of Adiponectin antbody and rat heart tissue lysate. Expected/observed size ~30KD
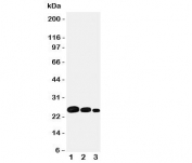
Western blot testing of Adiponectin antbody and recombinant protein; Lane 1: 10ng; 2: 5ng; 3: 2.5ng
IHC-P: Adiponectin antibody testing of human placenta tissue
IHC-P: Adiponectin antibody testing of mouse kidney tissue
IHC-P: Adiponectin antibody testing of rat kidney tissue
IHC-F testing of Adiponectin antibody and rat liver tissue
Availability 1-3 business days
Species Reactivity Human, Mouse, Rat
Format Antigen affinity purified
Host Rabbit
Clonality Polyclonal (rabbit origin)
Isotype Rabbit IgG
Purity Antigen affinity
Buffer Lyophilized from 1X PBS with 2.5% BSA and 0.025% sodium azide and 0.025% thimerosal
UniProt Q15848
Applications Western Blot : 0.5-1ug/ml
IHC (FFPE) : 0.5-1ug/ml
IHC (Frozen) : 0.5-1ug/ml
ELISA : 0.1-0.5ug/ml (human protein tested)
Limitations This Adiponectin antibody is available for research use only.
Review this product on BioCompare and get a $20 Amazon gift card

Related Products

Description

Adiponectin, als called ADIPOQ (Adipocyte-, C1q-, and Collagen Domain-Containing), APM1, ADPN and ACDC, is a protein which in humans is encoded by the ADIPOQ gene. Using FISH, Das et al.(2001) mapped the mouse Acrp30 gene to chromosome 16 in a region showing homology of synteny with human 3q27. By RNase protection and Western blot analysis, Schaffler et al.(1999) showed that ADIPOQ is expressed by differentiated adipocytes as a 30-kD protein that is also detectable in serum. By sequence comparisons, they found links between ADIPOQ and TNF family ligands as well as to cytokines expressed by T cells. It is a protein hormone that modulates a number of metabolic processes, including glucose regulation and fatty acid oxidation. It is exclusively secreted from adipose tissue(and also from the placenta in pregnancy) into the bloodstream and is very abundant in plasma relative to many hormones.

Application Notes

The stated application concentrations are suggested starting amounts. Titration of the Adiponectin antibody may be required due to differences in protocols and secondary/substrate sensitivity.

Immunogen

An amino acid sequence from the C-terminus of human ADIPOQ (LYADNDNDSTFTGFLLYHDTN) was used as the immunogen for this Adiponectin antibody.

Storage

After reconstitution, the Adiponectin antibody can be stored for up to one month at 4oC. For long-term, aliquot and store at -20oC. Avoid repeated freezing and thawing.

Cross
Bulk Quote Request Form
Name*:
Organization*:
Email*:
Phone Number*:
Catalog No.*:
Comments and Specifics(amount, formulation, etc.)*:
Validation code: Captchapackage Image


Can't read the image? click here to refresh.
    *required field

Your bulk quote request has been submitted successfully!

Please contact us if you have any questions.