• Tel: 858.663.9055
  • SeparatorEmail: info@nsjbio.com
  • Tel: 858.663.9055
  • Email: info@nsjbio.com
Home >> Antibodies >> ADAR Antibody / Adenosine deaminase acting on RNA

ADAR Antibody / Adenosine deaminase acting on RNA [clone AFCB-1] (FY13428)

  Catalog No Formulation Size Price (USD)  
Image FY13428 Rabbit IgG in phosphate buffered saline, pH 7.4, 150mM NaCl, 0.02% sodium azide and 50% glycerol, 0.4-0.5mg/ml BSA 100 ul 449
Microvalidated Recrabbitmono
Bulk quote request
Immunofluorescent staining of FFPE human HeLa cells with ADAR antibody (red) and Beta Tubulin mAb (green). HIER: steam section in pH6 citrate buffer for 20 min.
Immunohistochemical staining of FFPE mouse brain tissue using ADAR antibody, HRP-secondary and DAB substrate. HIER: boil tissue sections in pH8 EDTA for 20 min and allow to cool before testing.
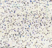
Immunohistochemical staining of FFPE rat brain tissue using ADAR antibody, HRP-secondary and DAB substrate. HIER: boil tissue sections in pH8 EDTA for 20 min and allow to cool before testing.
Western blot analysis of ADAR using anti-ADAR antibody. Samples include human HeLa cell lysate, human HepG2 cell lysate, rat brain tissue lysate, and human 293T cell lysate. Adenosine deaminase acting on RNA has a predicted molecular weight of approximately 134 kDa; however, a major band may be observed at approximately 150 kDa due to expression of higher molecular weight ADAR isoforms and phosphorylation-dependent mobility shifts that can increase apparent size on SDS-PAGE.
Availability 1-2 days
Species Reactivity Human, Mouse, Rat
Format Purified
Host Rabbit
Clonality Recombinant Rabbit Monoclonal
Isotype Rabbit IgG
Clone Name AFCB-1
Purity Purified
Buffer Rabbit IgG in phosphate buffered saline, pH 7.4, 150mM NaCl, 0.02% sodium azide and 50% glycerol, 0.4-0.5mg/ml BSA.
UniProt P55265
Localization Nuclear, cytoplasmic
Applications Western Blot : 1:500-1:2000
Immunohistochemistry : 1:50-1:200
Immunofluorescence : 1:50-1:200
Limitations This ADAR antibody is available for research use only.
Review this product on BioCompare and get a $20 Amazon gift card

Related Products

Description

ADAR antibody targets Adenosine deaminase acting on RNA, an RNA-editing enzyme encoded by the ADAR gene that catalyzes the conversion of adenosine to inosine within double-stranded RNA substrates. This post-transcriptional modification alters RNA sequence information and can influence RNA stability, splicing, localization, and translation. Adenosine deaminase acting on RNA is a central regulator of RNA editing events that expand transcriptomic diversity and fine-tune gene expression across many cell types.

Adenosine deaminase acting on RNA contains conserved double-stranded RNA-binding domains at its N-terminus and a C-terminal deaminase catalytic domain. These domains enable selective binding to structured RNA regions and catalysis of deamination reactions. RNA editing mediated by ADAR can result in codon changes, modification of regulatory RNA elements, or alteration of microRNA processing. A short functional summary is that ADAR functions as a key enzymatic editor that modulates RNA sequence and function after transcription, thereby shaping protein diversity and regulatory RNA networks.

ADAR is broadly expressed in mammalian tissues, with particularly high expression reported in the brain, immune cells, and epithelial tissues. Subcellular localization is primarily nuclear, although cytoplasmic distribution has also been observed depending on cell type and activation state. Expression levels and activity of ADAR are dynamically regulated in response to developmental cues and cellular stress signals, including interferon signaling pathways, reflecting its role in innate immune regulation and RNA surveillance.

From a biological and disease relevance perspective, dysregulation of ADAR-mediated RNA editing has been linked to neurological disorders, autoimmune diseases, and cancer. Altered RNA editing patterns can disrupt normal gene function and contribute to aberrant signaling pathways. In immune contexts, ADAR activity helps distinguish self from non-self RNA, preventing inappropriate activation of antiviral responses. These diverse roles highlight the importance of precise control over ADAR expression and enzymatic activity in maintaining cellular homeostasis.

An ADAR antibody is a useful research tool for detecting adenosine deaminase acting on RNA expression and studying RNA editing mechanisms in cellular and tissue-based systems. Detection of ADAR supports investigations into RNA processing, transcriptome regulation, innate immune signaling, and disease-associated changes in RNA editing landscapes. This antibody targets adenosine deaminase acting on RNA for use in research applications focused on post-transcriptional gene regulation and RNA biology.

Application Notes

Optimal dilution of the ADAR antibody should be determined by the researcher.

Immunogen

A synthesized peptide derived from human Adenosine deaminase acting on RNA protein was used as the immunogen for the ADAR antibody.

Storage

After reconstitution, the ADAR antibody can be stored for up to one month at 4oC. For long-term, aliquot and store at -20oC. Avoid repeated freezing and thawing.

Cross
Bulk Quote Request Form
Name*:
Organization*:
Email*:
Phone Number*:
Catalog No.*:
Comments and Specifics(amount, formulation, etc.)*:
Validation code: Captchapackage Image


Can't read the image? click here to refresh.
    *required field

Your bulk quote request has been submitted successfully!

Please contact us if you have any questions.