• Tel: 858.663.9055
  • SeparatorEmail: info@nsjbio.com
  • Tel: 858.663.9055
  • Email: info@nsjbio.com
Home >> Antibodies >> ADAMTS17 Antibody

ADAMTS17 Antibody (F54401)

  Catalog No Formulation Size Price (USD)  
Image F54401-0.4ML In 1X PBS, pH 7.4, with 0.09% sodium azide 0.4 ml 439
Image
F54401-0.08ML In 1X PBS, pH 7.4, with 0.09% sodium azide 0.08 ml 205
Bulk quote request
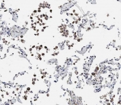
IHC testing of FFPE human lung tissue with ADAMTS17 antibody. HIER: steam section in pH9 EDTA for 20 min and allow to cool prior to staining.
Western blot testing of human 1) A431, 2) HEK293, 3) SK-BR-3, 4) RPMI-8226, 5) MOLT4 and 6) PC-3 cell lysate with ADAMTS17 antibody. Predicted molecular weight ~121 kDa.
Availability 1-3 business days
Species Reactivity Human
Format Purified
Host Rabbit
Clonality Polyclonal (rabbit origin)
Isotype Rabbit Ig
Purity Antigen affinity purified
UniProt Q8TE56
Localization Nuclear
Applications Immunohistochemistry (FFPE) : 1:25
Western Blot : 1:500-1:2000
Limitations This ADAMTS17 antibody is available for research use only.
Review this product on BioCompare and get a $20 Amazon gift card

Description

Alternate name(s): A disintegrin and metalloproteinase with thrombospondin motifs 17

Application Notes

The stated application concentrations are suggested starting points. Titration of the ADAMTS17 antibody may be required due to differences in protocols and secondary/substrate sensitivity.

Immunogen

A portion of amino acids 508-540 from the human protein was used as the immunogen for the ADAMTS17 antibody.

Storage

Aliquot the ADAMTS17 antibody and store frozen at -20oC or colder. Avoid repeated freeze-thaw cycles.

Cross
Bulk Quote Request Form
Name*:
Organization*:
Email*:
Phone Number*:
Catalog No.*:
Comments and Specifics(amount, formulation, etc.)*:
Validation code: Captchapackage Image


Can't read the image? click here to refresh.
    *required field

Your bulk quote request has been submitted successfully!

Please contact us if you have any questions.