• Tel: 858.663.9055
  • SeparatorEmail: info@nsjbio.com
  • Tel: 858.663.9055
  • Email: info@nsjbio.com
Home >> Antibodies >> ADAM17 Antibody

ADAM17 Antibody (R34736)

  Catalog No Formulation Size Price (USD)  
Image R34736-100UG 0.5 mg/ml in 1X TBS, pH7.3, with 0.5% BSA (US sourced) and 0.02% sodium azide 100 ug 475
Bulk quote request
Western blot testing of Daudi (A), Jurkat (B) and HeLa (C) lysates with ADAM17 antibody at 0.3ug/ml. Expected molecular weight: 80-130 kDa depending on level of glycosylation
Western blot testing of human testis lysate with ADAM17 antibody at 0.2ug/ml. Expected size: 80-130 kDa depending on level of glycosylation
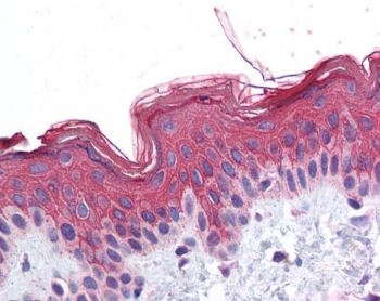
IHC testing of FFPE human skin with ADAM17 antibody at 3.75ug/ml. HIER: steamed antigen retrieval with pH6 citrate buffer; AP-staining.
IHC testing of FFPE human thyroid tissue with ADAM17 antibody at 3.75ug/ml. HIER: steamed antigen retrieval with pH6 citrate buffer; AP-staining.
Availability 1-3 business days
Species Reactivity Human
Predicted Reactivity Mouse, Rat
Format Antigen affinity purified
Host Goat
Clonality Polyclonal (goat origin)
Isotype Goat Ig
Purity Antigen affinity
Gene ID 6868
Localization Cytoplasmic, membranous
Applications Western Blot 0.2-1ug/ml :
IHC (FFPE) : 3-6ug/ml
ELISA (peptide) LOD : 1:128000
Limitations This ADAM17 antibody is available for research use only.
Review this product on BioCompare and get a $20 Amazon gift card

Related Products

  • Applications : WB, FACS, ELISA
    Reactivity : Human
  • Applications : WB, ELISA
    Reactivity : Human
  • Applications : WB, Direct ELISA
    Reactivity : Human, Mouse, Rat
  • Applications : WB, Direct ELISA
    Reactivity : Mouse, Rat

Description

Additional name(s) for this target protein: A disintegrin and metalloproteinase domain 17, TACE

Application Notes

Optimal dilution of the ADAM17 antibody should be determined by the researcher.

1. This ADAM17 antibody will detect isoforms 1 and 2.

Immunogen

Amino acids LQRQNRVDSKETEC were used as the immunogen for this ADAM17 antibody.

Storage

Aliquot and store the ADAM17 antibody at -20oC.

Cross
Bulk Quote Request Form
Name*:
Organization*:
Email*:
Phone Number*:
Catalog No.*:
Comments and Specifics(amount, formulation, etc.)*:
Validation code: Captchapackage Image


Can't read the image? click here to refresh.
    *required field

Your bulk quote request has been submitted successfully!

Please contact us if you have any questions.