• Tel: 858.663.9055
  • SeparatorEmail: info@nsjbio.com
  • Tel: 858.663.9055
  • Email: info@nsjbio.com
Home >> Antibodies >> ADAM10 Antibody

ADAM10 Antibody [clone AAIC-1] (RQ4703)

  Catalog No Formulation Size Price (USD)  
Image RQ4703 Antibody in PBS with 0.02% sodium azide, 50% glycerol and 0.4-0.5mg/ml BSA 100 ul 449
Microvalidated Rab Mono Image
Bulk quote request
Western blot testing of human Jurkat cell lysate with ADAM10 antibody. Predicted molecular weight: ~84 kDa (full length), ~60 kDa (active form), ~80 kDa (glycosylated active form), ~110 kDa (glycosylated full length).
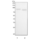
Western blot testing of human 1) A431 and 2) HaCaT cell lysate with ADAM10 antibody. Predicted molecular weight: ~84 kDa (full length), ~60 kDa (active form), ~80 kDa (glycosylated active form), ~110 kDa (glycosylated full length).
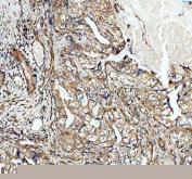
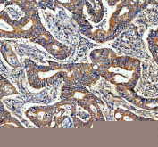
IHC staining of FFPE human lung adenocarcinoma tissue with ADAM10 antibody, HRP-secondary and DAB substrate. HIER: boil tissue sections in pH8 EDTA for 20 min and allow to cool before testing.
IHC staining of FFPE human ovarian serous adenocarcinoma tissue with ADAM10 antibody, HRP-secondary and DAB substrate. HIER: boil tissue sections in pH8 EDTA for 20 min and allow to cool before testing.
IHC staining of FFPE human rectum adenocarcinoma tissue with ADAM10 antibody, HRP-secondary and DAB substrate. HIER: boil tissue sections in pH8 EDTA for 20 min and allow to cool before testing.
IHC staining of FFPE human glioblastoma tissue with ADAM10 antibody, HRP-secondary and DAB substrate. HIER: boil tissue sections in pH8 EDTA for 20 min and allow to cool before testing.
Availability 1-2 weeks
Species Reactivity Human
Format Purified
Host Rabbit
Clonality Rabbit Monoclonal
Isotype Rabbit IgG
Clone Name AAIC-1
Purity Affinity purified
UniProt O14672
Localization Cytoplasm, cell membrane
Applications Western Blot : 1:500
Immunohistochemistry (FFPE) : 1:50-1:200
Limitations This ADAM10 antibody is available for research use only.
Review this product on BioCompare and get a $20 Amazon gift card

Related Products

  • Applications : WB
    Reactivity : Human
  • Applications : WB, ELISA
    Reactivity : Human, Mouse, Rat
  • Applications : WB, FACS, Direct ELISA
    Reactivity : Human

Description

ADAM10 antibody is a widely used reagent for studying cell adhesion, signaling, and proteolytic processing of membrane proteins. The encoded protein, ADAM10, is a member of the ADAM (a disintegrin and metalloproteinase) family, which combines adhesive and protease functions. ADAM10 acts as a sheddase, cleaving the extracellular domains of diverse substrates, including Notch receptors, cadherins, amyloid precursor protein (APP), and members of the TNF receptor family. Through these activities, ADAM10 regulates signaling pathways, development, and tissue remodeling.

ADAM10 plays a critical role in embryogenesis by controlling Notch signaling, which governs cell fate determination, differentiation, and organogenesis. Loss of ADAM10 activity in model organisms results in severe developmental defects due to impaired Notch receptor cleavage. Beyond development, ADAM10 contributes to the regulation of synaptic plasticity, immune responses, and epithelial barrier function. Its broad substrate specificity underscores its role as a central regulator of intercellular communication.

Research into neurological disease has highlighted ADAM10 as a key alpha-secretase in the non-amyloidogenic processing of APP. By cleaving APP within the amyloid-beta sequence, ADAM10 prevents formation of pathogenic amyloid-beta peptides associated with Alzheimer disease. Enhanced ADAM10 activity is considered neuroprotective, while reduced activity contributes to amyloid plaque accumulation. These findings make ADAM10 a therapeutic target of interest in neurodegenerative research.

ADAM10 also participates in cancer biology by modulating cell adhesion and growth factor receptor signaling. Cleavage of adhesion molecules such as E-cadherin by ADAM10 promotes tumor invasion and metastasis. Overexpression of ADAM10 has been observed in several cancers, including breast, gastric, and prostate cancer, where it supports malignant progression. Its role in immune regulation, including shedding of ligands and receptors involved in T cell activation, further expands its biological relevance.

The ADAM10 antibody is commonly employed in western blotting, immunohistochemistry, immunofluorescence, and flow cytometry to detect protein expression and distribution. These applications enable researchers to investigate roles of ADAM10 in development, neurodegeneration, and cancer. For scientists examining protease activity, receptor signaling, or therapeutic interventions, the ADAM10 antibody provides a reliable detection tool. NSJ Bioreagents offers validated antibodies that ensure accuracy and reproducibility in advanced molecular studies.

Application Notes

Optimal dilution of the ADAM10 antibody should be determined by the researcher.

Immunogen

A synthetic peptide specific to human ADAM10 was used as the immunogen for the ADAM10 antibody.

Storage

Store the ADAM10 antibody at -20oC.

Cross
Bulk Quote Request Form
Name*:
Organization*:
Email*:
Phone Number*:
Catalog No.*:
Comments and Specifics(amount, formulation, etc.)*:
Validation code: Captchapackage Image


Can't read the image? click here to refresh.
    *required field

Your bulk quote request has been submitted successfully!

Please contact us if you have any questions.