• Tel: 858.663.9055
  • SeparatorEmail: info@nsjbio.com
  • Tel: 858.663.9055
  • Email: info@nsjbio.com
Home >> Antibodies >> ACTR1B Antibody / Actin related protein 1B

ACTR1B Antibody / Actin related protein 1B [clone 30A59] (FY12792)

  Catalog No Formulation Size Price (USD)  
Image FY12792 Rabbit IgG in phosphate buffered saline, pH 7.4, 150mM NaCl, 0.02% sodium azide and 50% glycerol, 0.4-0.5mg/ml BSA 100 ul 449
Microvalidated Recrabbitmono
Bulk quote request
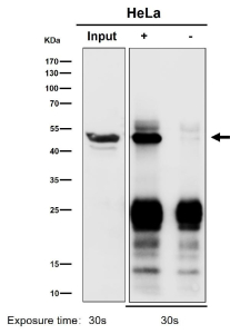
Immunoprecipitation analysis using the ACTR1B antibody at 1:50 dilution. Western blot at 1:500 dilution, predicted molecular weight ~45 kDa.
Western blot analysis of ACTR1B expression in human 293 cell lysate using ACTR1B antibody. Predicted molecular weight ~45 kDa.
Availability 2-3 weeks
Species Reactivity Human
Format Liquid
Host Rabbit
Clonality Recombinant Rabbit Monoclonal
Isotype Rabbit IgG
Clone Name 30A59
Purity Affinity chromatography
Buffer Rabbit IgG in phosphate buffered saline, pH 7.4, 150mM NaCl, 0.02% sodium azide and 50% glycerol, 0.4-0.5mg/ml BSA.
UniProt P42025
Applications Western Blot : 1:500-1:2000
Immunohistochemistry : 1:50-1:200
Immunocytochemistry/Immunofluorescence : 1:50-1:200
Immunoprecipitation : 1:50
Flow Cytometry : 1:50
Limitations This ACTR1B antibody is available for research use only.
Review this product on BioCompare and get a $20 Amazon gift card

Related Products

  • Applications : WB, IHC, ELISA (peptide)
    Reactivity : Human
    Pred. Reactivity : Cow, Dog, Mouse, Rat

Description

ACTR1B antibody detects actin related protein 1B, encoded by the ACTR1B gene. Other identifiers include ARP1 beta and actin like protein 1B. ACTR1B is a component of the dynactin complex, which links cytoplasmic dynein motors to cargo for microtubule based transport. As a structural actin related protein, ACTR1B forms a short filament within dynactin that resembles conventional actin but has specialized roles in motor attachment. This arrangement enables the dynactin complex to couple vesicles, organelles, and protein complexes to dynein, allowing retrograde transport along microtubules.

ACTR1B antibody is widely applied in neuroscience, cell biology, and developmental biology. By detecting ACTR1B, researchers can evaluate how dynein dynactin interactions support intracellular transport. This process is essential for neuronal function, where long distance axonal transport delivers synaptic vesicles and organelles. Mutations or disruption of dynactin subunits, including ACTR1B, impair axonal transport and cause neurodegenerative disease. ACTR1B expression is detected in brain, muscle, and immune cells, reflecting its broad roles in intracellular logistics.

Applications of ACTR1B antibody include western blotting, immunohistochemistry, and immunofluorescence. Western blotting detects ACTR1B protein in neuronal lysates, immunohistochemistry maps expression in brain sections, and immunofluorescence reveals localization along microtubules and vesicular cargo. These approaches allow direct visualization of dynactin function in cellular transport.

Dynactin acts as a cofactor for dynein in multiple processes, including mitotic spindle orientation, endosome trafficking, and immune synapse formation. By applying ACTR1B antibody, scientists can study how transport machinery coordinates cell division, signaling, and migration. In developmental biology, ACTR1B is required for correct neuronal wiring and tissue morphogenesis, as transport defects disrupt growth cone guidance and organelle distribution.

Aberrant dynactin activity contributes to neurodegenerative diseases such as amyotrophic lateral sclerosis and hereditary spastic paraplegia. While most mutations involve the p150Glued subunit, ACTR1B remains essential for filament integrity. Detection with ACTR1B antibody provides a foundation for exploring dynactin biology in disease contexts. In cancer, altered microtubule transport and polarity also involve dynactin regulation, linking ACTR1B studies to oncology.

ACTR1B antibody from NSJ Bioreagents provides dependable specificity for this core dynactin subunit. Its validated performance ensures accurate results across neuroscience, cancer biology, and transport research.

Application Notes

Optimal dilution of the ACTR1B antibody should be determined by the researcher.

Immunogen

A synthesized peptide derived from human ACTR1B was used as the immunogen for the ACTR1B antibody.

Storage

Store the ACTR1B antibody at -20oC.

Cross
Bulk Quote Request Form
Name*:
Organization*:
Email*:
Phone Number*:
Catalog No.*:
Comments and Specifics(amount, formulation, etc.)*:
Validation code: Captchapackage Image


Can't read the image? click here to refresh.
    *required field

Your bulk quote request has been submitted successfully!

Please contact us if you have any questions.