• Tel: 858.663.9055
  • SeparatorEmail: info@nsjbio.com
  • Tel: 858.663.9055
  • Email: info@nsjbio.com
Home >> Antibodies >> ACTA2 Antibody / Alpha Actin / Smooth Muscle Actin

ACTA2 Antibody / Alpha Actin / Smooth Muscle Actin [clone EO-1] (RQ8952)

  Catalog No Formulation Size Price (USD)  
Image RQ8952 Antibody in PBS with 0.02% sodium azide, 50% glycerol and 0.4-0.5mg/ml BSA 100 ul 449
Microvalidated Recrabbitmono
Bulk quote request
Immunofluorescent staining of FFPE human A431 cells with ACTA2 antibody (green) and DAPI nuclear stain (blue). HIER: steam section in pH6 citrate buffer for 20 min.
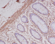
IHC staining of FFPE human colon tissue with ACTA2 antibody, HRP-secondary and DAB substrate. HIER: boil tissue sections in pH8 EDTA for 20 min and allow to cool before testing.
Western blot testing of human 1) A549, 2) HeLa, 3) 293T, 4) HepG2, 5) Caco-2, 6) SH-SY5Y, 7) U-251 and 8) MCF7 cell lysate using ACTA2 antibody. Predicted molecular weight ~42 kDa.
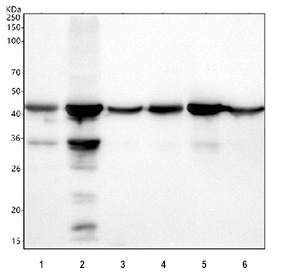
Western blot testing of 1) rat heart, 2) rat lung, 3) rat brain, 4) mouse heart, 5) mouse lung and 6) mouse brain tissue lysate using ACTA2 antibody. Predicted molecular weight ~42 kDa.
Availability 1-2 weeks
Species Reactivity Human, Mouse, Rat
Format Purified
Host Rabbit
Clonality Recombinant Rabbit Monoclonal
Isotype Rabbit IgG
Clone Name EO-1
Purity Affinity purified
UniProt P62736
Localization Cytoplasmic
Applications Western Blot : 1:500
Immunohistochemistry (FFPE) : 1:50
Immunofluorescence : 1:50
Limitations This ACTA2 antibody is available for research use only.
Review this product on BioCompare and get a $20 Amazon gift card

Related Products

Description

ACTA2 antibody is a widely used reagent for studying cytoskeletal organization, smooth muscle biology, and tissue remodeling. The encoded protein, alpha actin (ACTA2), is an isoform of actin expressed primarily in vascular and visceral smooth muscle. As a major component of the contractile apparatus, ACTA2 plays a central role in generating force for smooth muscle contraction and maintaining structural integrity of the cytoskeleton.

Alpha actin is abundantly expressed in smooth muscle cells of the vasculature, airways, gastrointestinal tract, and reproductive system. It is also used as a marker of myofibroblast differentiation, where its upregulation reflects tissue remodeling during wound healing, fibrosis, and pathological scarring. Because of its strong and specific expression pattern, detection with ACTA2 antibody is widely applied in immunohistochemistry and immunofluorescence to identify smooth muscle or myofibroblastic cells in tissue samples.

In cardiovascular research, ACTA2 is studied as a marker of vascular smooth muscle cells and their phenotypic switching. Under pathological conditions such as atherosclerosis or hypertension, ACTA2 expression can change as smooth muscle cells adopt synthetic phenotypes. In pulmonary and hepatic fibrosis, ACTA2 positive myofibroblasts contribute to extracellular matrix deposition and tissue stiffening, making ACTA2 a reliable indicator of fibrotic remodeling.

Structurally, alpha actin is a globular protein that polymerizes into filamentous actin, forming part of the cytoskeleton. ACTA2 interacts with actin binding proteins to regulate filament dynamics, cell shape, and motility. Its high conservation across species ensures that ACTA2 antibody is effective in many experimental systems, including human and animal models.

The ACTA2 antibody is commonly used in western blotting, immunohistochemistry, immunofluorescence, and flow cytometry. These applications enable researchers to assess expression, distribution, and structural changes of smooth muscle actin in both healthy and diseased tissues. For scientists investigating vascular biology, fibrosis, tissue remodeling, or smooth muscle physiology, the ACTA2 antibody provides a sensitive and specific detection tool. NSJ Bioreagents offers validated antibodies that ensure reproducibility and accuracy in advanced molecular studies.

Application Notes

Optimal dilution of the ACTA2 antibody should be determined by the researcher.

Immunogen

A synthetic peptide specific to human Smooth muscle actin was used as the immunogen for the ACTA2 antibody.

Storage

Store the ACTA2 antibody at -20oC.

Cross
Bulk Quote Request Form
Name*:
Organization*:
Email*:
Phone Number*:
Catalog No.*:
Comments and Specifics(amount, formulation, etc.)*:
Validation code: Captchapackage Image


Can't read the image? click here to refresh.
    *required field

Your bulk quote request has been submitted successfully!

Please contact us if you have any questions.