• Tel: 858.663.9055
  • SeparatorEmail: info@nsjbio.com
  • Tel: 858.663.9055
  • Email: info@nsjbio.com
Home >> Antibodies >> ACOX1 Antibody / Acyl-CoA oxidase 1

ACOX1 Antibody / Acyl-CoA oxidase 1 (FY13397)

  Catalog No Formulation Size Price (USD)  
Image FY13397 Adding 0.2 ml of distilled water will yield a concentration of 500 ug/ml 100 ug 449
Bulk quote request
Immunofluorescent staining of FFPE human a549 cells with ACOX1 antibody (green) and Alpha Tubulin mAb (red). HIER: steam section in pH6 citrate buffer for 20 min.
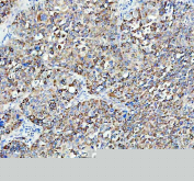
Immunohistochemical staining of FFPE human liver cancer tissue with ACOX1 antibody, HRP-secondary and DAB substrate. HIER: boil tissue sections in pH8 EDTA for 20 min and allow to cool before testing.
Immunohistochemical staining of FFPE human liver cancer tissue with ACOX1 antibody, HRP-secondary and DAB substrate. HIER: boil tissue sections in pH8 EDTA for 20 min and allow to cool before testing.
Western blot analysis of ACOX1 in rat liver, mouse liver, and mouse kidney lysates. The ACOX1 antibody detects a strong band at approximately 70 kDa corresponding to full length acyl-CoA oxidase 1 (ACOX1), as well as a prominent band at approximately 22 kDa. The lower band matches the known C terminal 22 kDa fragment generated by proteolytic processing of ACOX1 in peroxisomes, which has been described for mammalian ACOX1 in liver tissues.
Availability 1-2 days
Species Reactivity Human, Mouse, Rat
Format Lyophilized
Host Rabbit
Clonality Polyclonal (rabbit origin)
Isotype Rabbit IgG
Purity Immunogen affinity purified
Buffer Each vial contains 4 mg Trehalose, 0.9 mg NaCl, 0.2 mg Na2HPO4.
UniProt Q15067
Localization Cytoplasm (Peroxisome)
Applications Western Blot : 0.25-0.5ug/ml
Immunocytochemistry/Immunofluorescence : 5 ug/ml
Immunohistochemistry (FFPE) : 2-5ug/ml
Limitations This ACOX1 antibody is available for research use only.
Review this product on BioCompare and get a $20 Amazon gift card

Related Products

Description

ACOX1 antibody recognizes Acyl-CoA oxidase 1, a peroxisomal enzyme essential for the first and rate-limiting step of peroxisomal beta-oxidation. Encoded by the ACOX1 gene on human chromosome 17q25.1, this enzyme catalyzes the desaturation of straight-chain fatty acyl-CoA substrates into trans-2-enoyl-CoA while generating hydrogen peroxide as a byproduct. Acyl-CoA oxidase 1 is a core component of the peroxisomal lipid catabolic network and is highly expressed in liver, kidney, heart, adipose tissue, and other metabolically active organs. Cellular localization studies consistently demonstrate its presence in the peroxisomal matrix, where it co-localizes with key enzymes such as catalase, HSD17B4, and the peroxisomal thiolase complex.

Acyl-CoA oxidase 1 participates in essential metabolic pathways including degradation of very long chain fatty acids, branched-chain fatty acids, pristanic acid, phytanic acid, and specific dicarboxylic acids. Through these activities, it supports energy homeostasis, bile acid precursor oxidation, and detoxification of lipids unsuitable for mitochondrial oxidation. Loss of ACOX1 activity causes accumulation of unmetabolized fatty acids and is implicated in metabolic disorders such as pseudoneonatal adrenoleukodystrophy, hepatosteatosis, and conditions characterized by peroxisomal dysfunction. Mouse models lacking Acox1 exhibit hepatomegaly, oxidative stress, inflammatory infiltration, and widespread metabolic disruption, illustrating its central role in lipid processing and redox balance.

Structurally, Acyl-CoA oxidase 1 contains an N-terminal FAD-binding domain followed by regions responsible for substrate recognition and catalytic activity. It forms homodimers within the peroxisome to achieve full enzymatic function. Isoforms generated through alternative splicing exhibit differences in stability and metabolic specificity, and developmental regulation influences expression during embryogenesis and early postnatal liver maturation. Activity is modulated by peroxisome proliferator activated receptor alpha, aligning ACOX1 expression with nutritional status, fasting responses, and lipid-rich dietary conditions.

In addition to its metabolic roles, ACOX1 intersects with inflammatory and oxidative stress pathways. Hydrogen peroxide generated through Acyl-CoA oxidase 1 activity contributes to peroxisome-driven redox signaling, and imbalances can influence cellular stress responses. Peroxisome proliferation induced by metabolic or pharmacologic stimuli frequently increases ACOX1 abundance, highlighting its adaptive regulation during changes in lipid load. Emerging research suggests that disrupted ACOX1 function may contribute to neurodevelopmental symptoms in rare genetic conditions and may influence lipid signaling processes in both metabolic and immune contexts.

This ACOX1 antibody is suitable for detecting Acyl-CoA oxidase 1 expression in research focused on lipid metabolism, peroxisomal beta-oxidation, metabolic disease models, oxidative stress responses, and peroxisome biology. Its use supports studies examining organelle dynamics, peroxisomal maturation, and pathways regulating fatty acid catabolism. NSJ Bioreagents provides this reagent as part of its collection of metabolism and peroxisome-related antibodies.

Application Notes

Optimal dilution of the ACOX1 antibody should be determined by the researcher.

Immunogen

E.coli-derived human ACOX1 recombinant protein (amino acids A605-E648) was used as the immunogen for the ACOX1 antibody.

Storage

After reconstitution, the ACOX1 antibody can be stored for up to one month at 4oC. For long-term, aliquot and store at -20oC. Avoid repeated freezing and thawing.

Cross
Bulk Quote Request Form
Name*:
Organization*:
Email*:
Phone Number*:
Catalog No.*:
Comments and Specifics(amount, formulation, etc.)*:
Validation code: Captchapackage Image


Can't read the image? click here to refresh.
    *required field

Your bulk quote request has been submitted successfully!

Please contact us if you have any questions.