• Tel: 858.663.9055
  • SeparatorEmail: info@nsjbio.com
  • Tel: 858.663.9055
  • Email: info@nsjbio.com
Home >> Antibodies >> ACE Antibody / Angiotensin I Converting Enzyme

ACE Antibody / Angiotensin I Converting Enzyme (FY13058)

  Catalog No Formulation Size Price (USD)  
Image FY13058 Adding 0.2 ml of distilled water will yield a concentration of 500 ug/ml 100 ug 449
Bulk quote request
Immunohistochemical staining of ACE using anti-ACE antibody. ACE was detected in a paraffin-embedded section of human lung cancer tissue. Heat mediated antigen retrieval was performed in EDTA buffer (pH 8.0, epitope retrieval solution). The tissue section was blocked with 10% goat serum. The tissue section was then incubated with 2 ug/ml rabbit anti-ACE antibody overnight at 4oC. Peroxidase Conjugated Goat Anti-rabbit IgG was used as secondary antibody and incubated for 30 minutes at 37oC. The tissue section was developed using an HRP secondary and DAB substrate.
Western blot analysis of ACE using anti-ACE antibody. Lane 1: rat lung tissue lysates, Lane 2: mouse lung tissue lysates, Lane 3: mouse kidney tissue lysates. After electrophoresis, proteins were transferred to a nitrocellulose membrane at 150 mA for 50-90 minutes. Blocked the membrane with 5% non-fat milk/TBS for 1.5 hour at RT. The membrane was incubated with rabbit anti-ACE antibody at 0.5 ug/ml overnight at 4oC, then washed with TBS-0.1%Tween 3 times with 5 minutes each and probed with a goat anti-rabbit IgG-HRP secondary antibody at a dilution of 1:5000 for 1.5 hour at RT. The signal was developed using enhanced chemiluminescent. A specific band was detected for ACE at approximately 140-170 kDa. The expected molecular weight of ACE is ~150 kDa.
Immunohistochemical staining of ACE using anti-ACE antibody. ACE was detected in a paraffin-embedded section of human thyroid cancer tissue. Heat mediated antigen retrieval was performed in EDTA buffer (pH 8.0, epitope retrieval solution). The tissue section was blocked with 10% goat serum. The tissue section was then incubated with 2 ug/ml rabbit anti-ACE antibody overnight at 4oC. Peroxidase Conjugated Goat Anti-rabbit IgG was used as secondary antibody and incubated for 30 minutes at 37oC. The tissue section was developed using an HRP secondary and DAB substrate.
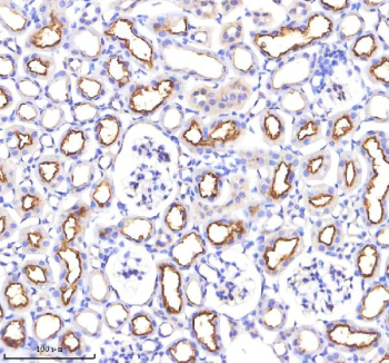
Immunohistochemical staining of ACE using anti-ACE antibody. ACE was detected in a paraffin-embedded section of mouse kidney tissue. Heat mediated antigen retrieval was performed in EDTA buffer (pH 8.0, epitope retrieval solution). The tissue section was blocked with 10% goat serum. The tissue section was then incubated with 2 ug/ml rabbit anti-ACE antibody overnight at 4oC. Peroxidase Conjugated Goat Anti-rabbit IgG was used as secondary antibody and incubated for 30 minutes at 37oC. The tissue section was developed using an HRP secondary and DAB substrate.
Flow Cytometry analysis of MOLT-4 cells using anti-ACE antibody. Overlay histogram showing MOLT-4 cells stained with (Blue line). The cells were fixed with 4% paraformaldehyde and blocked with 10% normal goat serum. And then incubated with rabbit anti-ACE antibody (1 ug/million cells) for 30 min at 20oC. DyLight 488 conjugated goat anti-rabbit IgG (5-10 ug/million cells) was used as secondary antibody for 30 minutes at 20oC. Isotype control antibody (Green line) was rabbit IgG (1 ug/million cells) used under the same conditions. Unlabelled sample without incubation with primary antibody and secondary antibody (Red line) was used as a blank control.
Availability 1-2 days
Species Reactivity Human, Mouse, Rat
Format Lyophilized
Host Rabbit
Clonality Polyclonal (rabbit origin)
Isotype Rabbit IgG
Purity Immunogen affinity purified
Buffer Each vial contains 4 mg Trehalose, 0.9 mg NaCl, 0.2 mg Na2HPO4.
UniProt P12821
Applications Western Blot : 0.25-0.5ug/ml
Immunohistochemistry : 2-5ug/ml
ELISA : 0.1-0.5ug/ml
Limitations This ACE antibody is available for research use only.
Review this product on BioCompare and get a $20 Amazon gift card

Related Products

Description

ACE antibody detects Angiotensin I converting enzyme, a zinc-dependent peptidase that plays a pivotal role in blood pressure regulation and electrolyte balance. The UniProt recommended name is Angiotensin I converting enzyme (ACE). This membrane-bound enzyme catalyzes the conversion of angiotensin I to the potent vasoconstrictor angiotensin II and degrades bradykinin, thereby modulating vascular tone and fluid homeostasis.

Functionally, ACE antibody identifies a 1,306-amino-acid type I membrane glycoprotein composed of two homologous catalytic domains (N- and C-domains) and a short cytoplasmic tail. ACE is expressed in endothelial cells, epithelial cells, and kidney proximal tubules, where it acts as a key enzyme of the renin-angiotensin system (RAS). By generating angiotensin II, ACE promotes vasoconstriction, sodium retention, and aldosterone secretion, contributing to blood pressure regulation.

The ACE gene is located on chromosome 17q23.3 and encodes multiple isoforms, including somatic ACE and testis-specific ACE (tACE). Somatic ACE is primarily found on the luminal surface of endothelial cells in lungs, heart, and kidneys, whereas tACE functions in sperm maturation and fertility. ACE expression is regulated by inflammatory cytokines, hormonal signaling, and mechanical stress on vascular endothelium.

Clinically, dysregulation of ACE activity is linked to hypertension, heart failure, diabetic nephropathy, and atherosclerosis. ACE inhibitors, which block enzyme activity, are among the most effective therapeutics for cardiovascular disease management. Beyond cardiovascular roles, ACE contributes to immune function by degrading inflammatory peptides and influencing hematopoietic stem cell mobilization. Elevated ACE levels are also diagnostic for sarcoidosis and other granulomatous disorders.

ACE antibody is widely used in cardiovascular, renal, and molecular physiology research. It is suitable for immunohistochemistry, western blotting, and flow cytometry to detect ACE expression and distribution in tissues. This antibody supports studies of vascular biology, RAS signaling, and peptide metabolism. In clinical and translational settings, ACE serves as a biomarker for endothelial activation and inflammatory vascular disease.

Structurally, ACE consists of two catalytic domains containing zinc-binding motifs (HEMGH sequence) that coordinate enzymatic hydrolysis of peptide bonds. Its extracellular domain is heavily glycosylated, conferring stability and resistance to proteolysis. NSJ Bioreagents provides ACE antibody reagents validated for use in cardiovascular physiology, renin-angiotensin system, and molecular enzyme research.

Application Notes

Optimal dilution of the ACE antibody should be determined by the researcher.

Immunogen

E.coli-derived human ACE recombinant protein (Position: R149-C545) was used as the immunogen for the ACE antibody.

Storage

After reconstitution, the ACE antibody can be stored for up to one month at 4oC. For long-term, aliquot and store at -20oC. Avoid repeated freezing and thawing.

Cross
Bulk Quote Request Form
Name*:
Organization*:
Email*:
Phone Number*:
Catalog No.*:
Comments and Specifics(amount, formulation, etc.)*:
Validation code: Captchapackage Image


Can't read the image? click here to refresh.
    *required field

Your bulk quote request has been submitted successfully!

Please contact us if you have any questions.