• Tel: 858.663.9055
  • SeparatorEmail: info@nsjbio.com
  • Tel: 858.663.9055
  • Email: info@nsjbio.com
Home >> Antibodies >> ACBD3 Antibody / Acyl-CoA binding domain containing protein 3

ACBD3 Antibody / Acyl-CoA binding domain containing protein 3 [clone 32A12] (FY13092)

  Catalog No Formulation Size Price (USD)  
Image FY13092 Rabbit IgG in phosphate buffered saline, pH 7.4, 150mM NaCl, 0.02% sodium azide and 50% glycerol, 0.4-0.5mg/ml BSA 100 ul 449
Microvalidated Recrabbitmono
Bulk quote request
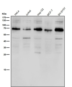
Western blot testing of human samples using the ACBD3 antibody at 1:1000 dilution for 1 hour at room temperature. A single major band is detected just below the 70 kDa marker, consistent with the expected migration of full-length ACBD3, which typically runs above its predicted 61 kDa mass due to phosphorylation and the structured coiled-coil/GOLD domains that alter SDS–PAGE mobility. The observed band therefore represents the mature, Golgi-associated form of ACBD3.
Availability 2-3 weeks
Species Reactivity Human
Format Liquid
Host Rabbit
Clonality Recombinant Rabbit Monoclonal
Isotype Rabbit IgG
Clone Name 32A12
Purity Affinity chromatography
Buffer Rabbit IgG in phosphate buffered saline, pH 7.4, 150mM NaCl, 0.02% sodium azide and 50% glycerol, 0.4-0.5mg/ml BSA.
UniProt Q9H3P7
Applications Western Blot : 1:500-1:2000
Limitations This ACBD3 antibody is available for research use only.
Review this product on BioCompare and get a $20 Amazon gift card

Description

ACBD3 antibody detects Acyl-CoA binding domain containing protein 3, encoded by the ACBD3 gene. Acyl-CoA binding domain containing protein 3 is a scaffolding protein localized to the Golgi apparatus, where it regulates vesicle trafficking, lipid metabolism, and viral replication. ACBD3 antibody provides researchers with an important tool to study intracellular signaling, organelle function, and host pathogen interactions.

Acyl-CoA binding domain containing protein 3 contains multiple domains that enable interaction with diverse partners, including lipid modifying enzymes, Golgi structural proteins, and viral proteins. Research using ACBD3 antibody has shown that it recruits phosphatidylinositol 4 kinase beta to the Golgi, controlling synthesis of phosphoinositides required for membrane trafficking. This positions ACBD3 as a central regulator of Golgi homeostasis and lipid signaling, with broad implications for secretory pathway biology.

Beyond cellular homeostasis, ACBD3 has been identified as a host factor for picornaviruses, including enteroviruses and coxsackieviruses. Studies with ACBD3 antibody have demonstrated that viral proteins hijack ACBD3 to recruit lipid kinases and remodel Golgi membranes for replication organelle formation. This makes ACBD3 an important factor in viral pathogenesis and a potential antiviral target. By detecting Acyl-CoA binding domain containing protein 3, researchers can explore how viruses exploit host cell machinery to establish infection.

In addition to viral infection, ACBD3 contributes to steroidogenesis, mitochondrial communication, and cancer biology. Research with ACBD3 antibody has revealed that altered expression of ACBD3 influences cholesterol trafficking and steroid hormone synthesis. Its interaction with protein kinases and signaling complexes also links it to cell proliferation and oncogenic signaling. Because of its broad interaction network, ACBD3 is emerging as a key integrator of metabolic and signaling pathways.

ACBD3 antibody is widely applied in western blotting, immunohistochemistry, and immunofluorescence. Western blotting demonstrates expression in multiple tissues, immunohistochemistry highlights localization in endocrine and epithelial organs, and immunofluorescence shows Golgi specific staining. These applications make ACBD3 antibody valuable for studies of organelle biology, lipid metabolism, and infection.

By supplying validated ACBD3 antibody reagents, NSJ Bioreagents supports research into Golgi function, metabolism, and host pathogen interactions. Detection of Acyl-CoA binding domain containing protein 3 allows researchers to dissect how scaffolding proteins organize signaling and trafficking at intracellular membranes.

Application Notes

Optimal dilution of the ACBD3 antibody should be determined by the researcher.

Immunogen

A synthesized peptide derived from human ACBD3 was used as the immunogen for the ACBD3 antibody.

Storage

Store the ACBD3 antibody at -20oC.

Cross
Bulk Quote Request Form
Name*:
Organization*:
Email*:
Phone Number*:
Catalog No.*:
Comments and Specifics(amount, formulation, etc.)*:
Validation code: Captchapackage Image


Can't read the image? click here to refresh.
    *required field

Your bulk quote request has been submitted successfully!

Please contact us if you have any questions.