• Tel: 858.663.9055
  • SeparatorEmail: info@nsjbio.com
  • Tel: 858.663.9055
  • Email: info@nsjbio.com
Home >> Antibodies >> ACADVL Antibody / VLCAD

ACADVL Antibody / VLCAD (R32491)

  Catalog No Formulation Size Price (USD)  
Image R32491 0.5mg/ml if reconstituted with 0.2ml sterile DI water 100 ug 449
Bulk quote request
Immunofluorescent staining of FFPE human U-2 OS cells with ACADVL antibody (green) and DAPI nuclear stain (blue). HIER: steam section in pH6 citrate buffer for 20 min.
IHC staining of FFPE human ovarian cancer tissue with ACADVL antibody. HIER: boil tissue sections in pH8 EDTA for 20 min and allow to cool before testing.
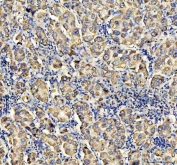
IHC staining of FFPE human liver cancer tissue with ACADVL antibody. HIER: boil tissue sections in pH8 EDTA for 20 min and allow to cool before testing.
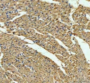
IHC staining of FFPE rat heart tissue with ACADVL antibody. HIER: boil tissue sections in pH8 EDTA for 20 min and allow to cool before testing.
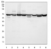
Western blot testing of 1) human HeLa, 2) human SiHa, 3) human A549, 4) human U-251, 5) rat liver, 6) rat heart, 7) mouse liver and 8) mouse heart tissue lysate with ACADVL antibody. Predicted molecular weight: 68-70 kDa.
Immunoprecipitation of ACADVL protein from 500ug of human HeLa whole cell lysate with 2ug of ACADVL antibody.
Flow cytometry testing of fixed and permeabilized human U-251 cells with ACADVL antibody at 1ug/million cells (blocked with goat sera); Red=cells alone, Green=isotype control, Blue= ACADVL antibody.
Availability 1-3 business days
Species Reactivity Human, Mouse, Rat
Format Antigen affinity purified
Host Rabbit
Clonality Polyclonal (rabbit origin)
Isotype Rabbit IgG
Purity Antigen affinity
Buffer Lyophilized from 1X PBS with 2% Trehalose
UniProt P49748
Applications Western Blot : 0.5-1ug/ml
Immunohistochemistry (FFPE) : 2-5ug/ml
Immunofluorescence : 5ug/ml
Flow Cytometry : 1-3ug/million cells
Immunoprecipitation : 2ug antibody/500ug lysate
Limitations This ACADVL antibody is available for research use only.
Review this product on BioCompare and get a $20 Amazon gift card

Related Products

Description

Very long-chain specific acyl-CoA dehydrogenase, mitochondrial (VLCAD) is an enzyme that in humans is encoded by the ACADVL gene. The protein encoded by this gene is targeted to the inner mitochondrial membrane, where it catalyzes the first step of the mitochondrial fatty acid beta-oxidation pathway. This acyl-Coenzyme A dehydrogenaseis specific to long-chain and very-long-chain fatty acids. A deficiency in this gene product reduces myocardial fatty acid beta-oxidation and is associated with cardiomyopathy. Alternative splicing results in multiple transcript variants encoding different isoforms.

Application Notes

Differences in protocols and secondary/substrate sensitivity may require the ACADVL antibody to be titrated for optimal performance.

Immunogen

Amino acids 538-576 (RALEQFATVVEAKLIKHKKGIVNEQFLLQRLADGAIDLY) from the human protein were used as the immunogen for the ACADVL antibody.

Storage

After reconstitution, the ACADVL antibody can be stored for up to one month at 4oC. For long-term, aliquot and store at -20oC. Avoid repeated freezing and thawing.

Cross
Bulk Quote Request Form
Name*:
Organization*:
Email*:
Phone Number*:
Catalog No.*:
Comments and Specifics(amount, formulation, etc.)*:
Validation code: Captchapackage Image


Can't read the image? click here to refresh.
    *required field

Your bulk quote request has been submitted successfully!

Please contact us if you have any questions.