• Tel: 858.663.9055
  • SeparatorEmail: info@nsjbio.com
  • Tel: 858.663.9055
  • Email: info@nsjbio.com
Home >> Antibodies >> ACADSB Antibody / SBCAD

ACADSB Antibody / SBCAD (RQ5791)

  Catalog No Formulation Size Price (USD)  
Image RQ5791 0.5mg/ml if reconstituted with 0.2ml sterile DI water 100 ug 449
Bulk quote request
Immunofluorescent staining of FFPE human MCF7 cells with ACADSB antibody (green) and DAPI nuclear stain (blue). HIER: steam section in pH6 citrate buffer for 20 min.
Flow cytometry testing of fixed and permeabilized human ThP-1 cells with ACADSB antibody at 1ug/million cells (blocked with goat sera); Red=cells alone, Green=isotype control, Blue= ACADSB antibody.
Flow cytometry testing of fixed and permeabilized mouse RAW264.7 cells with ACADSB antibody at 1ug/million cells (blocked with goat sera); Red=cells alone, Green=isotype control, Blue= ACADSB antibody.
Flow cytometry testing of fixed and permeabilized rat RH-35 cells with ACADSB antibody at 1ug/million cells (blocked with goat sera); Red=cells alone, Green=isotype control, Blue= ACADSB antibody.
Western blot testing of 1) human A431, 2) human T-47 D, 3) human A549, 4) monkey COS-7, 5) rat liver and 6) mouse liver lysate with ACADSB antibody. Expected molecular weight: ~47 kDa (unprocessed), ~43 kDa (processed).
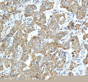
IHC staining of FFPE human liver cancer tissue with ACADSB antibody, HRP-secondary and DAB substrate. HIER: boil tissue sections in pH8 EDTA for 20 min and allow to cool before testing.
IHC staining of FFPE human liver tissue with ACADSB antibody, HRP-secondary and DAB substrate. HIER: boil tissue sections in pH8 EDTA for 20 min and allow to cool before testing.
Availability 1-3 business days
Species Reactivity Human, Mouse, Rat, Monkey
Format Antigen affinity purified
Host Rabbit
Clonality Polyclonal (rabbit origin)
Isotype Rabbit IgG
Purity Affinity purified
Buffer Lyophilized from 1X PBS with 2% Trehalose and 0.025% sodium azide
UniProt P45954
Applications Western Blot : 0.5-1ug/ml
Immunofluorescence : 2-4ug/ml
Flow Cytometry : 1-3ug/million cells
Immunohistochemistry (FFPE) : 2-5ug/ml
Limitations This ACADSB antibody is available for research use only.
Review this product on BioCompare and get a $20 Amazon gift card

Description

ACADSB (Acyl-CoA dehydrogenase, short/branched chain), also known as SBCAD, is a mitochondrial enzyme involved in fatty acid and amino acid metabolism. It belongs to the acyl-CoA dehydrogenase family, which catalyzes the initial step in the β-oxidation of fatty acids by introducing a double bond into acyl-CoA substrates. Specifically, ACADSB is responsible for the dehydrogenation of short and branched-chain acyl-CoA derivatives, including isobutyryl-CoA and 2-methylbutyryl-CoA, which are derived from valine and isoleucine catabolism. Researchers frequently use an ACADSB antibody to study mitochondrial metabolism and inherited metabolic disorders.

The activity of ACADSB is essential for maintaining energy production, particularly during fasting or periods of increased energy demand. By contributing to branched-chain amino acid degradation, it links amino acid catabolism to mitochondrial energy output. Employing an ACADSB antibody enables the investigation of its role in cellular energy balance and metabolic regulation.

Mutations in the ACADSB gene cause short/branched-chain acyl-CoA dehydrogenase deficiency, a rare inborn error of metabolism. Patients with this deficiency can present with hypoglycemia, metabolic acidosis, and other symptoms related to impaired fatty acid and amino acid oxidation. Studying ACADSB with an ACADSB antibody helps researchers better understand the molecular mechanisms underlying this disorder and contributes to the development of diagnostic and therapeutic approaches.

NSJ Bioreagents provides a high-quality ACADSB antibody validated for applications including western blot, immunohistochemistry, and immunofluorescence. Choosing an ACADSB antibody from NSJ Bioreagents ensures accurate and reproducible results in studies of fatty acid oxidation, mitochondrial function, and metabolic disease.

Application Notes

Optimal dilution of the ACADSB antibody should be determined by the researcher.

Immunogen

Amino acids ASNIQLNTIAKHIDAEY from the human protein were used as the immunogen for the ACADSB antibody.

Storage

After reconstitution, the ACADSB antibody can be stored for up to one month at 4oC. For long-term, aliquot and store at -20oC. Avoid repeated freezing and thawing.

Cross
Bulk Quote Request Form
Name*:
Organization*:
Email*:
Phone Number*:
Catalog No.*:
Comments and Specifics(amount, formulation, etc.)*:
Validation code: Captchapackage Image


Can't read the image? click here to refresh.
    *required field

Your bulk quote request has been submitted successfully!

Please contact us if you have any questions.