• Tel: 858.663.9055
  • SeparatorEmail: info@nsjbio.com
  • Tel: 858.663.9055
  • Email: info@nsjbio.com
Home >> Antibodies >> ACADS Antibody / SCAD

ACADS Antibody / SCAD (RQ5790)

  Catalog No Formulation Size Price (USD)  
Image RQ5790 0.5mg/ml if reconstituted with 0.2ml sterile DI water 100 ug 449
Bulk quote request
Immunofluorescent staining of FFPE human MCF7 cells with ACADS antibody (green) and DAPI nuclear stain (blue). HIER: steam section in pH6 citrate buffer for 20 min.
Western blot testing of human 1) HeLa, 2) A549, 3) U-87 MG, 4) HepG2, 5) HEK293, 6) rat liver, 7) rat kidney, 8) mouse liver and 9) mouse kidney lysate with ACADS antibody. Predicted molecular weight ~44 kDa.
Western blot testing of 1) human HepG2, 2) rat kidney, 3) rat liver, 4) rat NRK, 5) mouse kidney, 6) mouse liver and 7) mouse HEPA1-6 cell lysate with ACADS antibody. Predicted molecular weight ~44 kDa.
Western blot testing of 1) rat kidney, 2) rat liver, 3) mouse kidney, 4) mouse liver and 5) mouse HEPA1-6 cell lysate with ACADS antibody and DyLight 647 conjugated secondary. Predicted molecular weight ~44 kDa.
Immunofluorescent staining of FFPE human A549 cells with ACADS antibody (green) and DAPI nuclear stain (blue). HIER: steam section in pH6 citrate buffer for 20 min.
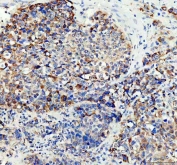
IHC staining of FFPE human liver cancer tissue with ACADS antibody. HIER: boil tissue sections in pH8 EDTA for 20 min and allow to cool before testing.
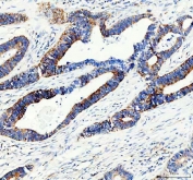
IHC staining of FFPE human colon cancer tissue with ACADS antibody. HIER: boil tissue sections in pH8 EDTA for 20 min and allow to cool before testing.
Flow cytometry testing of fixed and permeabilized human HepG2 cells with ACADS antibody at 1ug/million cells (blocked with goat sera); Red=cells alone, Green=isotype control, Blue= ACADS antibody.
Availability 1-3 business days
Species Reactivity Human, Mouse, Rat
Format Antigen affinity purified
Host Rabbit
Clonality Polyclonal (rabbit origin)
Isotype Rabbit IgG
Purity Affinity purified
Buffer Lyophilized from 1X PBS with 2% Trehalose
UniProt P16219
Applications Western Blot : 0.5-1ug/ml
Immunohistochemistry (FFPE) : 2-5ug/ml
Immunofluorescence : 5ug/ml
Flow Cytometry : 1-3ug/million cells
Limitations This ACADS antibody is available for research use only.
Review this product on BioCompare and get a $20 Amazon gift card

Related Products

Description

Acyl-CoA dehydrogenase, C-2 to C-3 short chain is an enzyme that in humans is encoded by the ACADS gene. This gene encodes a tetrameric mitochondrial flavoprotein, which is a member of the acyl-CoA dehydrogenase family. This enzyme catalyzes the initial step of the mitochondrial fatty acid beta-oxidation pathway. Mutations in this gene have been associated with short-chain acyl-CoA dehydrogenase (SCAD) deficiency. Alternative splicing results in two variants which encode different isoforms.

Application Notes

Optimal dilution of the ACADS antibody should be determined by the researcher.

Immunogen

Amino acids EIQRLVIAGHLLRSYRS from the human protein were used as the immunogen for the ACADS antibody.

Storage

After reconstitution, the ACADS antibody can be stored for up to one month at 4oC. For long-term, aliquot and store at -20oC. Avoid repeated freezing and thawing.

Cross
Bulk Quote Request Form
Name*:
Organization*:
Email*:
Phone Number*:
Catalog No.*:
Comments and Specifics(amount, formulation, etc.)*:
Validation code: Captchapackage Image


Can't read the image? click here to refresh.
    *required field

Your bulk quote request has been submitted successfully!

Please contact us if you have any questions.