• Tel: 858.663.9055
  • SeparatorEmail: info@nsjbio.com
  • Tel: 858.663.9055
  • Email: info@nsjbio.com
Home >> Antibodies >> ACAA2 Antibody

ACAA2 Antibody (R32490)

  Catalog No Formulation Size Price (USD)  
Image R32490 0.5mg/ml if reconstituted with 0.2ml sterile DI water 100 ug 449
Bulk quote request
Western blot testing of 1) rat lung, 2) mouse brain and 3) human HeLa lysate with ACAA2 antibody at 0.5ug/ml. Predicted molecular weight ~42 kDa.
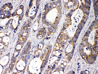
IHC testing of FFPE human intestinal cancer tissue with ACAA2 antibody at 1ug/ml. HIER: steam sections in pH6 citrate buffer for 20 min.
IF/ICC staining of FFPE human U-2 OS cells with ACAA2 antibody (green) at 2ug/ml and DAPI nuclear stain (blue). HIER: steam section in pH6 citrate buffer for 20 min.
Flow cytometry testing of human HepG2 cells with ACAA2 antibody at 1ug/10^6 cells (blocked with goat sera); Red=cells alone, Green=isotype control, Blue= ACAA2 antibody.
Availability 1-3 business days
Species Reactivity Human, Mouse, Rat
Format Antigen affinity purified
Host Rabbit
Clonality Polyclonal (rabbit origin)
Isotype Rabbit IgG
Purity Antigen affinity
Buffer Lyophilized from 1X PBS with 2.5% BSA and 0.025% sodium azide
UniProt P42765
Localization Cytoplasmic
Applications Western Blot : 0.5-1ug/ml
IHC (FFPE) : 1-2ug/ml
IF/ICC (FFPE) : 2-4ug/ml
Flow Cytometry : 1-3ug/10^6 cells
Limitations This ACAA2 antibody is available for research use only.
Review this product on BioCompare and get a $20 Amazon gift card

Description

3-Ketoacyl-CoA thiolase, mitochondrial, also known as acetyl-Coenzyme A acyltransferase 2, is an acetyl-CoA C-acyltransferase enzyme that in humans is encoded by the ACAA2 gene. The ACAA2 gene encodes a 41.9 kDa protein that is composed of 397 amino acids and contains 88 observed peptides. The encoded protein catalyzes the last step of themitochondrial fatty acid beta oxidation spiral. Unlike most mitochondrial matrix proteins, it contains a non-cleavable amino-terminal targeting signal. Additionally, ACAA2 has been shown to be a functional BNIP3 binding partner, which provides a possible link between fatty acid metabolism and cell apoptosis.

Application Notes

Differences in protocols and secondary/substrate sensitivity may require the ACAA2 antibody to be titrated for optimal performance.

Immunogen

Amino acids 207-242 (EVKTKKGKQTMQVDEHARPQTTLEQLQKLPPVFKKD from the human protein were used as the immunogen for the ACAA2 antibody.

Storage

After reconstitution, the ACAA2 antibody can be stored for up to one month at 4oC. For long-term, aliquot and store at -20oC. Avoid repeated freezing and thawing.

Cross
Bulk Quote Request Form
Name*:
Organization*:
Email*:
Phone Number*:
Catalog No.*:
Comments and Specifics(amount, formulation, etc.)*:
Validation code: Captchapackage Image


Can't read the image? click here to refresh.
    *required field

Your bulk quote request has been submitted successfully!

Please contact us if you have any questions.