• Tel: 858.663.9055
  • SeparatorEmail: info@nsjbio.com
  • Tel: 858.663.9055
  • Email: info@nsjbio.com
Home >> Antibodies >> ABCG5 Antibody / ATP-binding cassette sub-family G member 5

ABCG5 Antibody / ATP-binding cassette sub-family G member 5 (FY12886)

  Catalog No Formulation Size Price (USD)  
Image FY12886 Adding 0.2 ml of distilled water will yield a concentration of 500 ug/ml 100 ug 449
Bulk quote request
Immunofluorescent staining of ABCG5 using anti-ABCG5 antibody (green). ABCG5 was detected in an immunocytochemical section of CACO-2 cells. Enzyme antigen retrieval was performed using IHC enzyme antigen retrieval reagent for 15 mins. The cells were blocked with 10% goat serum. And then incubated with 5 ug/ml rabbit anti-ABCG5 antibody overnight at 4oC. DyLight 488 Conjugated Goat Anti-Rabbit IgG was used as secondary antibody at 1:500 dilution and incubated for 30 minutes at 37oC. The section was counterstained with DAPI nuclear stain (blue). Visualize using a fluorescence microscope and filter sets appropriate for the label used.
Western blot analysis of ABCG5 using anti-ABCG5 antibody. Electrophoresis was performed on a 10% SDS-PAGE gel at 80V (Stacking gel) / 120V (Resolving gel) for 2 hours. Lane 1: human HepG2 whole cell lysates, Lane 2: human Caco-2 whole cell lysates, Lane 3: human Ramos whole cell lysates, Lane 4: human HUH7 whole cell lysates, Lane 5: rat liver tissue lysates, Lane 6: rat RH35 whole cell lysates, Lane 7: mouse liver tissue lysates, Lane 8: mouse HEPA1/6 whole cell lysates. After electrophoresis, proteins were transferred to a nitrocellulose membrane at 150 mA for 50-90 minutes. Blocked the membrane with 5% non-fat milk/TBS for 1.5 hour at RT. The membrane was incubated with rabbit anti-ABCG5 antibody at 0.5 ug/ml overnight at 4oC, then washed with TBS-0.1%Tween 3 times with 5 minutes each and probed with a goat anti-rabbit IgG-HRP secondary antibody at a dilution of 1:5000 for 1.5 hour at RT. The signal was developed using an ECL Plus Western Blotting Substrate. A specific band was detected for ABCG5 at approximately 73 kDa. The expected molecular weight of ABCG5 is ~73 kDa.
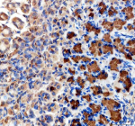
Immunohistochemical staining of ABCG5 using anti-ABCG5 antibody. ABCG5 was detected in a paraffin-embedded section of human colon cancer tissue. Heat mediated antigen retrieval was performed in EDTA buffer (pH 8.0, epitope retrieval solution). The tissue section was blocked with 10% goat serum. The tissue section was then incubated with 2 ug/ml rabbit anti-ABCG5 antibody overnight at 4oC. Peroxidase Conjugated Goat Anti-rabbit IgG was used as secondary antibody and incubated for 30 minutes at 37oC. The tissue section was developed using an HRP secondary and DAB substrate.
Immunohistochemical staining of ABCG5 using anti-ABCG5 antibody. ABCG5 was detected in a paraffin-embedded section of mouse stomach tissue. Heat mediated antigen retrieval was performed in EDTA buffer (pH 8.0, epitope retrieval solution). The tissue section was blocked with 10% goat serum. The tissue section was then incubated with 2 ug/ml rabbit anti-ABCG5 antibody overnight at 4oC. Peroxidase Conjugated Goat Anti-rabbit IgG was used as secondary antibody and incubated for 30 minutes at 37oC. The tissue section was developed using an HRP secondary and DAB substrate.
Immunohistochemical staining of ABCG5 using anti-ABCG5 antibody. ABCG5 was detected in a paraffin-embedded section of rat stomach tissue. Heat mediated antigen retrieval was performed in EDTA buffer (pH 8.0, epitope retrieval solution). The tissue section was blocked with 10% goat serum. The tissue section was then incubated with 2 ug/ml rabbit anti-ABCG5 antibody overnight at 4oC. Peroxidase Conjugated Goat Anti-rabbit IgG was used as secondary antibody and incubated for 30 minutes at 37oC. The tissue section was developed using an HRP secondary and DAB substrate.
Immunohistochemical staining of ABCG5 using anti-ABCG5 antibody. ABCG5 was detected in a paraffin-embedded section of human liver cancer tissue. Heat mediated antigen retrieval was performed in EDTA buffer (pH 8.0, epitope retrieval solution). The tissue section was blocked with 10% goat serum. The tissue section was then incubated with 2 ug/ml rabbit anti-ABCG5 antibody overnight at 4oC. Peroxidase Conjugated Goat Anti-rabbit IgG was used as secondary antibody and incubated for 30 minutes at 37oC. The tissue section was developed using an HRP secondary and DAB substrate.
Immunofluorescent staining of ABCG5 using anti-ABCG5 antibody (red). ABCG5 was detected in a paraffin-embedded section of human colon cancer tissue. Heat mediated antigen retrieval was performed in EDTA buffer (pH 8.0, epitope retrieval solution). The tissue section was blocked with 10% goat serum. The tissue section was then incubated with 5 ug/ml rabbit anti-ABCG5 antibody overnight at 4oC. Cy3 Conjugated Goat Anti-Rabbit IgG was used as secondary antibody at 1:500 dilution and incubated for 30 minutes at 37oC. The section was counterstained with DAPI nuclear stain (blue). Visualize using a fluorescence microscope and filter sets appropriate for the label used.
Immunofluorescent staining of ABCG5 using anti-ABCG5 antibody (red). ABCG5 was detected in a paraffin-embedded section of human liver cancer tissue. Heat mediated antigen retrieval was performed in EDTA buffer (pH 8.0, epitope retrieval solution). The tissue section was blocked with 10% goat serum. The tissue section was then incubated with 5 ug/ml rabbit anti-ABCG5 antibody overnight at 4oC. Cy3 Conjugated Goat Anti-Rabbit IgG was used as secondary antibody at 1:500 dilution and incubated for 30 minutes at 37oC. The section was counterstained with DAPI nuclear stain (blue). Visualize using a fluorescence microscope and filter sets appropriate for the label used.
Immunoprecipitating (IP) ABCG5 in HepG2 whole cell lysate. Western blot analysis of ABCG5 using anti-ABCG5 antibody; Lane 1: HepG2 whole cell lysates (30ug); Lane 2: Rabbit control IgG instead of anti-ABCG5 antibody in HepG2 whole cell lysate; Lane 3: anti-ABCG5 antibody (2ug) + HepG2 whole cell lysate (500ug). After electrophoresis, proteins were transferred to a membrane. Then the membrane was incubated with rabbit anti-ABCG5 antibody at a dilution of 0.5 ug/ml and probed with a goat anti-rabbit IgG-HRP secondary antibody. The signal is developed using ECL Plus Western Blotting Substrate. A specific band was detected for ABCG5 at approximately 73 kDa. The expected molecular weight of ABCG5 is at 73 kDa.
Availability 1-2 days
Species Reactivity Human, Mouse, Rat
Format Lyophilized
Host Rabbit
Clonality Polyclonal (rabbit origin)
Isotype Rabbit IgG
Purity Immunogen affinity purified
Buffer Each vial contains 4 mg Trehalose, 0.9 mg NaCl, 0.2 mg Na2HPO4.
UniProt Q9H222
Applications Western Blot : 0.25-0.5ug/ml
Immunohistochemistry : 2-5ug/ml
Immunocytochemistry/Immunofluorescence : 5ug/ml
Immunofluorescence : 5ug/ml
Immunoprecipitation : 2-4ug/500ug of lysate
Limitations This ABCG5 antibody is available for research use only.
Review this product on BioCompare and get a $20 Amazon gift card

Related Products

  • Applications : WB, FACS
    Reactivity : Human
  • Applications : WB
    Reactivity : Human

Description

ABCG5 antibody detects ATP-binding cassette sub-family G member 5, a sterol transporter that regulates cholesterol and plant sterol efflux. Encoded by the ABCG5 gene on chromosome 2p21, this half-transporter functions as a heterodimer with ABCG8 to form an ATP-dependent transporter localized to the apical membranes of enterocytes and hepatocytes. The ABCG5/ABCG8 complex limits intestinal sterol absorption and promotes biliary cholesterol excretion, maintaining systemic lipid balance.

Structurally, ABCG5 is a 651-amino-acid integral membrane glycoprotein of approximately 70 kilodaltons that contains one nucleotide-binding domain (NBD) and one transmembrane domain (TMD). It requires heterodimerization with ABCG8 for stability and activity, forming a functional exporter that utilizes ATP hydrolysis to transport sterols across lipid bilayers. ABCG5 is highly expressed in liver, small intestine, and gallbladder epithelium, where it contributes to cholesterol homeostasis and xenosterol elimination.

The ABCG5 antibody is widely used in lipid metabolism, hepatology, and cardiovascular research to study sterol transport, bile secretion, and cholesterol regulation. Western blot analysis detects a 70 kilodalton band corresponding to ABCG5, while immunofluorescence reveals localization to apical plasma membranes of enterocytes and canalicular membranes of hepatocytes. This antibody enables detailed investigation of sterol transport mechanisms and lipid trafficking defects underlying metabolic disorders.

Loss-of-function mutations in ABCG5 cause sitosterolemia, a rare lipid disorder characterized by excessive absorption and accumulation of dietary plant sterols and premature atherosclerosis. Conversely, increased ABCG5 expression contributes to enhanced sterol efflux and protection against hypercholesterolemia. The ABCG5/ABCG8 complex is also regulated by nuclear receptors such as liver X receptor (LXR) and farnesoid X receptor (FXR), integrating lipid metabolism with transcriptional control. The ABCG5 antibody provides a high-quality reagent for monitoring transporter expression, assessing sterol efflux activity, and exploring therapeutic regulation of cholesterol metabolism. NSJ Bioreagents validates this antibody for its applications, ensuring reliability for lipid transport research.

Application Notes

Optimal dilution of the ABCG5 antibody should be determined by the researcher.

Immunogen

E.coli-derived human ABCG5 recombinant protein (Position: M1-S88) was used as the immunogen for the ABCG5 antibody.

Storage

After reconstitution, the ABCG5 antibody can be stored for up to one month at 4oC. For long-term, aliquot and store at -20oC. Avoid repeated freezing and thawing.

Cross
Bulk Quote Request Form
Name*:
Organization*:
Email*:
Phone Number*:
Catalog No.*:
Comments and Specifics(amount, formulation, etc.)*:
Validation code: Captchapackage Image


Can't read the image? click here to refresh.
    *required field

Your bulk quote request has been submitted successfully!

Please contact us if you have any questions.