• Tel: 858.663.9055
  • SeparatorEmail: info@nsjbio.com
  • Tel: 858.663.9055
  • Email: info@nsjbio.com
Home >> Antibodies >> ABCE1 Antibody / ATP-binding cassette sub-family E member 1

ABCE1 Antibody / ATP-binding cassette sub-family E member 1 (FY12915)

  Catalog No Formulation Size Price (USD)  
Image FY12915 Adding 0.2 ml of distilled water will yield a concentration of 500 ug/ml 100 ug 449
Bulk quote request
Western blot analysis of ABCE1 using anti-ABCE1 antibody. Lane 1: human HepG2 whole cell lysates, Lane 2: human U20S whole cell lysates, Lane 3: human Jurkat whole cell lysates, Lane 4: mouse 4T1 whole cell lysates, Lane 5: mouse NIH/3T3 whole cell lysates. After electrophoresis, proteins were transferred to a nitrocellulose membrane at 150 mA for 50-90 minutes. Blocked the membrane with 5% non-fat milk/TBS for 1.5 hour at RT. The membrane was incubated with rabbit anti-ABCE1 antibody at 0.5 ug/ml overnight at 4oC, then washed with TBS-0.1%Tween 3 times with 5 minutes each and probed with a goat anti-rabbit IgG-DyLight 647 Conjugated secondary antibody at a dilution of 1:2000 for 1.5 hour at RT. A specific band was detected for ABCE1 at approximately 67 kDa. The expected molecular weight of ABCE1 is at 67 kDa.
Western blot analysis of ABCE1 using anti-ABCE1 antibody. Lane 1: human HepG2 whole cell lysates, Lane 2: human whole cell lysates, Lane 3: human U20S whole cell lysates, Lane 4: human Jurkat whole cell lysates, Lane 5: rat brain tissue lysates, Lane 6: mouse brain tissue lysates, Lane 7: mouse 4T1 whole cell lysates, Laen 8: mouse NIH/3T3 whole cell lysate. After electrophoresis, proteins were transferred to a nitrocellulose membrane at 150 mA for 50-90 minutes. Blocked the membrane with 5% non-fat milk/TBS for 1.5 hour at RT. The membrane was incubated with rabbit anti-ABCE1 antibody at 0.5 ug/ml overnight at 4oC, then washed with TBS-0.1%Tween 3 times with 5 minutes each and probed with a goat anti-rabbit IgG-HRP secondary antibody at a dilution of 1:5000 for 1.5 hour at RT. The signal was developed using enhanced chemiluminescent. A specific band was detected for ABCE1 at approximately 67 kDa. The expected molecular weight of ABCE1 is ~67 kDa.
Immunohistochemical staining of ABCE1 using anti-ABCE1 antibody. ABCE1 was detected in a paraffin-embedded section of rat brain tissue. Heat mediated antigen retrieval was performed in EDTA buffer (pH 8.0, epitope retrieval solution). The tissue section was blocked with 10% goat serum. The tissue section was then incubated with 2 ug/ml rabbit anti-ABCE1 antibody overnight at 4oC. Peroxidase Conjugated Goat Anti-rabbit IgG was used as secondary antibody and incubated for 30 minutes at 37oC. The tissue section was developed using an HRP secondary and DAB substrate.
Immunofluorescent staining of ABCE1 using anti-ABCE1 antibody (green). ABCE1 was detected in an immunocytochemical section of HELA cells. Enzyme antigen retrieval was performed using IHC enzyme antigen retrieval reagent for 15 mins. The cells were blocked with 10% goat serum. And then incubated with 5 ug/ml rabbit anti-ABCE1 antibody overnight at 4oC. DyLight 488 Conjugated Goat Anti-Rabbit IgG was used as secondary antibody at 1:500 dilution and incubated for 30 minutes at 37oC. The section was counterstained with DAPI nuclear stain (blue). Visualize using a fluorescence microscope and filter sets appropriate for the label used.
Flow Cytometry analysis of U251 cells using anti-ABCE1 antibody. Overlay histogram showing U251 cells stained with (Blue line). To facilitate intracellular staining, cells were fixed with 4% paraformaldehyde and permeabilized with permeabilization buffer. The cells were blocked with 10% normal goat serum. And then incubated with rabbit anti-ABCE1 antibody (1 ug/million cells) for 30 min at 20oC. DyLight 488 conjugated goat anti-rabbit IgG (5-10 ug/million cells) was used as secondary antibody for 30 minutes at 20oC. Isotype control antibody (Green line) was rabbit IgG (1 ug/million cells) used under the same conditions. Unlabelled sample without incubation with primary antibody and secondary antibody (Red line) was used as a blank control.
Immunohistochemical staining of ABCE1 using anti-ABCE1 antibody. ABCE1 was detected in a paraffin-embedded section of mouse brain tissue. Heat mediated antigen retrieval was performed in EDTA buffer (pH 8.0, epitope retrieval solution). The tissue section was blocked with 10% goat serum. The tissue section was then incubated with 2 ug/ml rabbit anti-ABCE1 antibody overnight at 4oC. Peroxidase Conjugated Goat Anti-rabbit IgG was used as secondary antibody and incubated for 30 minutes at 37oC. The tissue section was developed using an HRP secondary and DAB substrate.
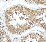
Immunohistochemical staining of ABCE1 using anti-ABCE1 antibody. ABCE1 was detected in a paraffin-embedded section of human testis tissue. Heat mediated antigen retrieval was performed in EDTA buffer (pH 8.0, epitope retrieval solution). The tissue section was blocked with 10% goat serum. The tissue section was then incubated with 2 ug/ml rabbit anti-ABCE1 antibody overnight at 4oC. Peroxidase Conjugated Goat Anti-rabbit IgG was used as secondary antibody and incubated for 30 minutes at 37oC. The tissue section was developed using an HRP secondary and DAB substrate.
Availability 1-2 days
Species Reactivity Human, Mouse, Rat
Format Lyophilized
Host Rabbit
Clonality Polyclonal (rabbit origin)
Isotype Rabbit IgG
Purity Immunogen affinity purified
Buffer Each vial contains 4 mg Trehalose, 0.9 mg NaCl, 0.2 mg Na2HPO4.
UniProt P61221
Localization Cytoplasm
Applications ELISA : 0.1-0.5ug/ml
Flow Cytometry : 1-3ug/million cells
Immunofluorescence : 5ug/ml
Immunohistochemistry : 2-5ug/ml
Immunocytochemistry : 5ug/ml
Western Blot : 0.25-0.5ug/ml
Limitations This ABCE1 antibody is available for research use only.
Review this product on BioCompare and get a $20 Amazon gift card

Related Products

Description

ABCE1 antibody detects ATP-binding cassette sub-family E member 1, an essential translation factor involved in ribosome recycling and antiviral defense. Encoded by the ABCE1 gene on chromosome 4q31.21, this highly conserved protein belongs to the ATP-binding cassette (ABC) transporter superfamily but is unique in lacking transmembrane domains. Instead, ABCE1 functions in the cytoplasm as a ribonucleoprotein-associated ATPase that promotes ribosome dissociation after translation termination, enabling efficient ribosome recycling and translation reinitiation.

Structurally, ABCE1 is a 599-amino-acid protein of approximately 68 kilodaltons composed of two nucleotide-binding domains (NBDs) and an N-terminal region containing iron-sulfur clusters critical for its activity. These clusters facilitate conformational changes required for ribosome disassembly. ABCE1 interacts with release factors (eRF1 and eRF3) and ribosomal subunits, coupling ATP hydrolysis to subunit separation. The protein is ubiquitously expressed and localized in the cytoplasm, with enrichment near polysomes.

The ABCE1 antibody is widely used in molecular biology, virology, and translational control research to study ribosome dynamics, translation termination, and antiviral mechanisms. Western blot analysis detects a 68 kilodalton band corresponding to ABCE1, while immunofluorescence shows diffuse cytoplasmic distribution associated with ribosomal clusters. This antibody enables exploration of how ATPase-driven ribosome recycling maintains translation efficiency and proteostasis.

Functionally, ABCE1 acts as a �ribosome recycling factor,� splitting 80S ribosomes into 40S and 60S subunits after peptide release. It also inhibits RNase L activation, thereby modulating innate antiviral responses. In viruses such as HIV-1, ABCE1 facilitates Gag assembly, linking translation control to viral replication. The ABCE1 gene is essential for cell viability, and its disruption leads to impaired translation and cell death. The ABCE1 antibody provides a powerful tool for studying the intersection of translation regulation, ribosome turnover, and antiviral defense. NSJ Bioreagents validates this antibody for its applications, ensuring consistent and accurate detection across experimental models.

Application Notes

Optimal dilution of the ABCE1 antibody should be determined by the researcher.

Immunogen

E.coli-derived human ABCE1 recombinant protein (Position: Q141-D599) was used as the immunogen for the ABCE1 antibody.

Storage

After reconstitution, the ABCE1 antibody can be stored for up to one month at 4oC. For long-term, aliquot and store at -20oC. Avoid repeated freezing and thawing.

Cross
Bulk Quote Request Form
Name*:
Organization*:
Email*:
Phone Number*:
Catalog No.*:
Comments and Specifics(amount, formulation, etc.)*:
Validation code: Captchapackage Image


Can't read the image? click here to refresh.
    *required field

Your bulk quote request has been submitted successfully!

Please contact us if you have any questions.