• Tel: 858.663.9055
  • SeparatorEmail: info@nsjbio.com
  • Tel: 858.663.9055
  • Email: info@nsjbio.com
Home >> Antibodies >> ABCC4 Antibody / MRP4

ABCC4 Antibody / MRP4 [clone ABCC4/9019] (V5381)

  Catalog No Formulation Size Price (USD)  
Image V5381-100UG 0.2 mg/ml in 1X PBS with 0.1 mg/ml BSA (US sourced), 0.05% sodium azide 100 ug 559
Image
V5381-20UG 0.2 mg/ml in 1X PBS with 0.1 mg/ml BSA (US sourced), 0.05% sodium azide 20 ug 259
Image
V5381SAF-100UG 1 mg/ml in 1X PBS; BSA free, sodium azide free 100 ug 559
Bulk quote request
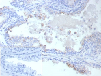
IHC staining of FFPE human prostate cancer tissue with ABCC4 antibody (clone ABCC4/9019). Inset: PBS used in place of primary Ab (secondary Ab negative control).
SDS-PAGE analysis of purified, BSA-free ABCC4 antibody (clone ABCC4/9019) as confirmation of integrity and purity.
Availability 1-3 business days
Species Reactivity Human
Format Purified
Host Mouse
Clonality Monoclonal (mouse origin)
Isotype Mouse IgG2b, kappa
Clone Name ABCC4/9019
Purity Protein A/G affinity
UniProt O15439
Localization Membrane
Applications Immunohistochemistry (FFPE) : 1-2ug/ml
Limitations This ABCC4 antibody is available for research use only.
Review this product on BioCompare and get a $20 Amazon gift card

Related Products

Description

ATP-dependent transporter of the ATP-binding cassette (ABC) family that actively extrudes physiological compounds and xenobiotics from cells. Transports a range of endogenous molecules that have a key role in cellular communication and signaling, including cyclic nucleotides such as cyclic AMP (cAMP) and cyclic GMP (cGMP), bile acids, steroid conjugates, urate, and prostaglandins. [UniProt]

Application Notes

Optimal dilution of the ABCC4 antibody should be determined by the researcher.

Immunogen

A recombinant fragment (within amino acids 1-200) of human ABCC4 protein was used as the immunogen for the ABCC4 antibody.

Storage

Aliquot the ABCC4 antibody and store frozen at -20oC or colder. Avoid repeated freeze-thaw cycles.

Cross
Bulk Quote Request Form
Name*:
Organization*:
Email*:
Phone Number*:
Catalog No.*:
Comments and Specifics(amount, formulation, etc.)*:
Validation code: Captchapackage Image


Can't read the image? click here to refresh.
    *required field

Your bulk quote request has been submitted successfully!

Please contact us if you have any questions.