• Tel: 858.663.9055
  • SeparatorEmail: info@nsjbio.com
  • Tel: 858.663.9055
  • Email: info@nsjbio.com
Home >> Antibodies >> ABCC3 Antibody / MRP3 / ATP-binding cassette subfamily C member 3

ABCC3 Antibody / MRP3 / ATP-binding cassette subfamily C member 3 [clone rDTX1] (V6027)

  Catalog No Formulation Size Price (USD)  
Image V6027-100UG 0.2 mg/ml in 1X PBS with 0.05% BSA, 0.05% sodium azide 100 ug 559
Image
V6027-20UG 0.2 mg/ml in 1X PBS with 0.05% BSA, 0.05% sodium azide 20 ug 259
Image
V6027SAF-100UG 1 mg/ml in 1X PBS; BSA free, sodium azide free 100 ug 559
Microvalidated Recmousemono
Bulk quote request
Western blot analysis of ABCC3 / MRP3 antibody (clone rDTX1) in human PANC28 cell lysate. A distinct band is detected at approximately 65-70 kDa, consistent with the predicted molecular weight range of Multidrug resistance-associated protein 3 and its commonly observed migration on SDS-PAGE. The signal supports expression of ABCC3 in PANC28 pancreatic carcinoma cells.
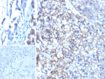
Immunohistochemistry analysis of ABCC3 / MRP3 antibody (clone rDTX1) in human adrenal gland tissue. Formalin-fixed, paraffin-embedded adrenal tissue demonstrates membranous HRP-DAB brown staining in cortical cells, consistent with plasma membrane localization of Multidrug resistance-associated protein 3. The staining outlines cell borders with minimal background signal in surrounding stromal regions. Hematoxylin counterstain highlights nuclear morphology and tissue architecture. The inset shows PBS used in place of primary antibody as a negative control, confirming absence of non-specific secondary antibody binding. Heat-induced epitope retrieval was performed by heating tissue sections in 10 mM Tris with 1 mM EDTA, pH 9.0, for 45 minutes at 95oC followed by cooling at room temperature for 20 minutes prior to staining.
SDS-PAGE Analysis of Purified ABCC3/MRP3 antibody (rDTX1). Confirmation of Purity and Integrity of Antibody.
Species Reactivity Human
Format Purified
Host Mouse
Clonality Recombinant Mouse Monoclonal
Isotype Mouse IgG2b, kappa
Clone Name rDTX1
UniProt O15438
Localization Basal cell membrane, Basolateral cell membrane
Applications Immunohistochemistry (FFPE) : 1-2ug/ml
Western Blot : 2-4ug/ml
Limitations This ABCC3/MRP3 antibody is available for research use only.
Review this product on BioCompare and get a $20 Amazon gift card

Related Products

Description

ABCC3 antibody recognizes ATP-binding cassette subfamily C member 3, a membrane efflux transporter encoded by the ABCC3 gene and commonly referred to as MRP3. Also known as Multidrug resistance-associated protein 3, this ATP-dependent transporter is a member of the ABC transporter superfamily and plays an important role in the export of organic anions and drug conjugates. ABCC3 antibody is widely used in research focused on hepatobiliary transport, xenobiotic metabolism, and mechanisms of multidrug resistance in cancer.

MRP3 is a multi-pass transmembrane protein localized primarily to the basolateral membrane of hepatocytes and epithelial cells in tissues such as intestine, pancreas, and kidney. The protein contains two nucleotide-binding domains and multiple transmembrane segments characteristic of ABC transporters. ABCC3 functions as an ATP-driven efflux pump transporting glucuronide, sulfate, and glutathione conjugates, including bile acids and bilirubin metabolites, from cells into systemic circulation. In cholestatic conditions or when canalicular transport pathways are impaired, ABCC3 expression is often upregulated as a compensatory mechanism to facilitate basolateral export of conjugated substrates.

Altered expression of MRP3 has been reported in inflammatory liver disease, cholestasis, and various malignancies. Increased ABCC3 levels have been associated with resistance to certain chemotherapeutic agents due to enhanced drug efflux capacity. Immunostaining typically demonstrates membranous localization in epithelial tumor cells and hepatocytes, consistent with plasma membrane transporter function. Clone rDTX1 is a recombinant mouse monoclonal antibody generated through defined sequence expression, supporting reproducible performance and lot-to-lot consistency. This ABCC3 antibody enables investigation of transporter biology, drug resistance pathways, and hepatic detoxification processes in research applications.

Application Notes

1. Optimal dilution of the ABCC3/MRP3 antibody should be determined by the researcher.

2. This ABCC3/MRP3 antibody is recombinantly produced by expression in CHO cells.

Immunogen

Recombinant prokaryotic fusion protein corresponding to a region of the cytoplasmic domains between transmembrane domains 11 and 12 of the MRP3 molecule was used as the immunogen for the ABCC3/MRP3 antibody.

Storage

ABCC3/MRP3 antibody with sodium azide - store at 2 to 8oC; antibody without sodium azide - store at -20 to -80oC.

Cross
Bulk Quote Request Form
Name*:
Organization*:
Email*:
Phone Number*:
Catalog No.*:
Comments and Specifics(amount, formulation, etc.)*:
Validation code: Captchapackage Image


Can't read the image? click here to refresh.
    *required field

Your bulk quote request has been submitted successfully!

Please contact us if you have any questions.