• Tel: 858.663.9055
  • SeparatorEmail: info@nsjbio.com
  • Tel: 858.663.9055
  • Email: info@nsjbio.com
Home >> Antibodies >> AATF Antibody / Apoptosis-antagonizing transcription factor

AATF Antibody / Apoptosis-antagonizing transcription factor (FY13151)

  Catalog No Formulation Size Price (USD)  
Image FY13151 Adding 0.2 ml of distilled water will yield a concentration of 500 ug/ml 100 ug 449
Bulk quote request
Immunofluorescent staining of AATF using anti-AATF antibody (green) and anti-Beta Tubulin antibody (red). AATF was detected in immunocytochemical section of cell. Enzyme antigen retrieval was performed using IHC enzyme antigen retrieval reagent for 15 mins. The cells were blocked with 10% goat serum. And then incubated with 5 ug/ml rabbit anti-AATF antibody and mouse anti-Beta Tubulin antibody overnight at 4oC. DyLight 488 Conjugated Goat Anti-Rabbit IgG and Cy3 Conjugated Goat Anti-Mouse IgG were used as secondary antibody at 1:500 dilution and incubated for 30 minutes at 37oC. The section was counterstained with DAPI nuclear stain (blue). Visualize using a fluorescence microscope and filter sets appropriate for the label used.
Western blot analysis of AATF using anti-AATF antibody. Lane 1: human 293T whole cell lysates, Lane 2: human HepG2 whole cell lysates, Lane 3: human Hela whole cell lysates, Lane 4: human whole cell lysates. After electrophoresis, proteins were transferred to a nitrocellulose membrane at 150 mA for 50-90 minutes. Blocked the membrane with 5% non-fat milk/TBS for 1.5 hour at RT. The membrane was incubated with rabbit anti-AATF antibody at 0.5 ug/ml overnight at 4oC, then washed with TBS-0.1%Tween 3 times with 5 minutes each and probed with a goat anti-rabbit IgG-HRP secondary antibody at a dilution of 1:5000 for 1.5 hour at RT. The signal was developed using enhanced chemiluminescent. AATF antibody detects a predominant band at ~95 kDa with a weaker band at ~75-80 kDa, likely a less-modified or partially trimmed form. Although the theoretical mass is ~63 kDa, AATF is a nuclear phosphoprotein that migrates slower on SDS-PAGE due to extensive phosphorylation and acidic, low-complexity regions.
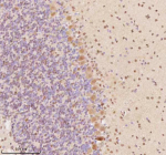
Immunohistochemical staining of AATF using anti-AATF antibody. AATF was detected in a paraffin-embedded section of mouse cerebellum tissue. Heat mediated antigen retrieval was performed in EDTA buffer (pH 8.0, epitope retrieval solution). The tissue section was blocked with 10% goat serum. The tissue section was then incubated with 2 ug/ml rabbit anti-AATF antibody overnight at 4oC. Peroxidase Conjugated Goat Anti-rabbit IgG was used as secondary antibody and incubated for 30 minutes at 37oC. The tissue section was developed using an HRP secondary and DAB substrate.
Immunohistochemical staining of AATF using anti-AATF antibody. AATF was detected in a paraffin-embedded section of mouse cerebellum tissue. Heat mediated antigen retrieval was performed in EDTA buffer (pH 8.0, epitope retrieval solution). The tissue section was blocked with 10% goat serum. The tissue section was then incubated with 2 ug/ml rabbit anti-AATF antibody overnight at 4oC. Peroxidase Conjugated Goat Anti-rabbit IgG was used as secondary antibody and incubated for 30 minutes at 37oC. The tissue section was developed using an HRP secondary and DAB substrate.
Immunohistochemical staining of AATF using anti-AATF antibody. AATF was detected in a paraffin-embedded section of mouse cerebellum tissue. Heat mediated antigen retrieval was performed in EDTA buffer (pH 8.0, epitope retrieval solution). The tissue section was blocked with 10% goat serum. The tissue section was then incubated with 2 ug/ml rabbit anti-AATF antibody overnight at 4oC. Peroxidase Conjugated Goat Anti-rabbit IgG was used as secondary antibody and incubated for 30 minutes at 37oC. The tissue section was developed using an HRP secondary and DAB substrate.
Immunohistochemical staining of AATF using anti-AATF antibody. AATF was detected in a paraffin-embedded section of mouse cerebellum tissue. Heat mediated antigen retrieval was performed in EDTA buffer (pH 8.0, epitope retrieval solution). The tissue section was blocked with 10% goat serum. The tissue section was then incubated with 2 ug/ml rabbit anti-AATF antibody overnight at 4oC. Peroxidase Conjugated Goat Anti-rabbit IgG was used as secondary antibody and incubated for 30 minutes at 37oC. The tissue section was developed using an HRP secondary and DAB substrate.
Immunofluorescent staining of AATF using anti-AATF antibody (red). AATF was detected in a paraffin-embedded section of rat brain tissue. Heat mediated antigen retrieval was performed in EDTA buffer (pH 8.0, epitope retrieval solution). The tissue section was blocked with 10% goat serum. The tissue section was then incubated with 5 ug/ml rabbit anti-AATF antibody overnight at 4oC. DyLight 594 Conjugated Goat Anti-Rabbit IgG was used as secondary antibody at 1:500 dilution and incubated for 30 minutes at 37oC. The section was counterstained with DAPI nuclear stain (blue). Visualize using a fluorescence microscope and filter sets appropriate for the label used.
Immunohistochemical staining of AATF using anti-AATF antibody. AATF was detected in a paraffin-embedded section of human brain tissue. Heat mediated antigen retrieval was performed in EDTA buffer (pH 8.0, epitope retrieval solution). The tissue section was blocked with 10% goat serum. The tissue section was then incubated with 2 ug/ml rabbit anti-AATF antibody overnight at 4oC. Peroxidase Conjugated Goat Anti-rabbit IgG was used as secondary antibody and incubated for 30 minutes at 37oC. The tissue section was developed using an HRP secondary and DAB substrate.
Immunohistochemical staining of AATF using anti-AATF antibody. AATF was detected in a paraffin-embedded section of human brain tissue. Heat mediated antigen retrieval was performed in EDTA buffer (pH 8.0, epitope retrieval solution). The tissue section was blocked with 10% goat serum. The tissue section was then incubated with 2 ug/ml rabbit anti-AATF antibody overnight at 4oC. Peroxidase Conjugated Goat Anti-rabbit IgG was used as secondary antibody and incubated for 30 minutes at 37oC. The tissue section was developed using an HRP secondary and DAB substrate.
Availability 1-2 days
Species Reactivity Human, Mouse, Rat
Format Lyophilized
Host Rabbit
Clonality Polyclonal (rabbit origin)
Isotype Rabbit IgG
Purity Immunogen affinity purified
Buffer Each vial contains 4 mg Trehalose, 0.9 mg NaCl, 0.2 mg Na2HPO4.
UniProt Q9NY61
Localization Nucleus, Nucleolus
Applications Western Blot : 0.25-0.5ug/ml
Immunohistochemistry : 2-5ug/ml
Immunocytochemistry : 5ug/ml
Immunofluorescence : 5ug/ml
ELISA : 0.1-0.5ug/ml
Limitations This AATF antibody is available for research use only.
Review this product on BioCompare and get a $20 Amazon gift card

Description

AATF antibody detects Apoptosis-antagonizing transcription factor, a nuclear protein involved in cell cycle control, apoptosis inhibition, and transcriptional regulation. The UniProt recommended name is Apoptosis-antagonizing transcription factor (AATF). This multifunctional protein acts as a coactivator and checkpoint regulator, integrating DNA damage signaling with cell survival pathways.

Functionally, AATF antibody identifies a 560-amino-acid protein that binds transcription factors such as TP53, ATF5, and RNA polymerase II components to modulate gene expression. AATF promotes cell cycle progression by repressing pro-apoptotic genes and enhancing DNA repair. It also plays roles in ribosome biogenesis, RNA processing, and chromatin organization.

The AATF gene is located on chromosome 17q11.2 and is widely expressed in proliferating cells, especially in brain, liver, and reproductive tissues. AATF activity ensures proper coordination between transcription, cell cycle checkpoints, and apoptosis resistance during stress conditions.

Pathologically, overexpression of AATF is observed in several cancers, including glioblastoma and leukemia, where it enhances cell survival and tumor progression. Conversely, loss of AATF sensitizes cells to apoptosis induced by DNA damage or oxidative stress. Research using AATF antibody supports studies in transcription regulation, apoptosis, and oncogenic signaling.

AATF antibody is validated for western blotting, immunohistochemistry, and immunofluorescence to detect transcriptional regulators. NSJ Bioreagents provides AATF antibody reagents optimized for studies in transcriptional control, DNA damage response, and cancer research.

Structurally, Apoptosis-antagonizing transcription factor contains nuclear localization signals, basic leucine zipper-like motifs, and regions for protein-protein interaction with transcription complexes. This antibody supports analysis of AATF's role in balancing survival and death signaling pathways.

Application Notes

Optimal dilution of the AATF antibody should be determined by the researcher.

Immunogen

E.coli-derived human AATF recombinant protein (Position: Q5-H552) was used as the immunogen for the AATF antibody.

Storage

After reconstitution, the AATF antibody can be stored for up to one month at 4oC. For long-term, aliquot and store at -20oC. Avoid repeated freezing and thawing.

Cross
Bulk Quote Request Form
Name*:
Organization*:
Email*:
Phone Number*:
Catalog No.*:
Comments and Specifics(amount, formulation, etc.)*:
Validation code: Captchapackage Image


Can't read the image? click here to refresh.
    *required field

Your bulk quote request has been submitted successfully!

Please contact us if you have any questions.