• Tel: 858.663.9055
  • SeparatorEmail: info@nsjbio.com
  • Tel: 858.663.9055
  • Email: info@nsjbio.com
Home >> Antibodies >> 5-Lipoxygenase Antibody

5-Lipoxygenase Antibody (R30133)

  Catalog No Formulation Size Price (USD)  
Image R30133 0.5mg/ml if reconstituted with 0.2ml sterile DI water 100 ug 449
Bulk quote request
Western blot testing of 5-Lipoxygenase antibody and SGC lysate; Predicted molecular weight: ~78 kDa.
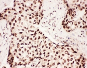
IHC-P: 5-Lipoxygenase antibody testing of human breast cancer tissue
IHC-P: 5-Lipoxygenase antibody testing of human intestine cancer tissue
IHC-P: 5-Lipoxygenase antibody testing of mouse brain tissue
IHC-P: 5-Lipoxygenase antibody testing of rat brain tissue
Availability 1-3 business days
Species Reactivity Human, Mouse, Rat
Format Antigen affinity purified
Host Rabbit
Clonality Polyclonal (rabbit origin)
Isotype Rabbit IgG
Purity Antigen affinity
Buffer Lyophilized from 1X PBS with 2.5% BSA and 0.025% sodium azide
Gene ID 240
Applications Western Blot : 0.5-1ug/ml
IHC (FFPE) : 0.5-1ug/ml
Limitations This 5-Lipoxygenase antibody is available for research use only.
Review this product on BioCompare and get a $20 Amazon gift card

Related Products

Description

Arachidonate 5-lipoxygenase, also known as 5-LOX or 5-LO, is an enzyme that in humans is encoded by the ALOX5 gene. It is a member of the lipoxygenase family of enzymes. It is mapped to 10q11.21. ALOX5 plays a dual role in the synthesis of leukotrienes from arachidonic acid. Its position within the nucleus of resting cells determines the capacity to generate LTB4 upon subsequent activation. It is involved in lung vascular tone regulation and in the development of chronic pulmonary hypertension in hypoxic rodent models. ALOX5 also transforms EFAs into leukotrienes and is a current target for pharmaceutical intervention in a number of diseases.

Application Notes

The stated application concentrations are suggested starting amounts. Titration of the 5-Lipoxygenase antibody may be required due to differences in protocols and secondary/substrate sensitivity.

Immunogen

Human partial recombinant protein (AA 120-483) was used as the immunogen for this 5-Lipoxygenase antibody.

Storage

After reconstitution, the 5-Lipoxygenase antibody can be stored for up to one month at 4oC. For long-term, aliquot and store at -20oC. Avoid repeated freezing and thawing.

Cross
Bulk Quote Request Form
Name*:
Organization*:
Email*:
Phone Number*:
Catalog No.*:
Comments and Specifics(amount, formulation, etc.)*:
Validation code: Captchapackage Image


Can't read the image? click here to refresh.
    *required field

Your bulk quote request has been submitted successfully!

Please contact us if you have any questions.